For quotations, please use our online quotation form, and you may also contact us by
service@kendallscientific.com
+1-888.733.6849 (Toll-free)
+1-617.299.7367 (Int’l))
+1-888.733.6849
Our customer service representatives are available 24 hours, Monday through Friday to assist you.| Reactivity | Human Mouse Rat |
| Tested applications | WB IHC IF |
| Recommended Dilution | WB 1:500 - 1:2000 IHC 1:50 - 1:100 IF 1:100 - 1:200 |
| Observed MW | Refer to Figures |
| Immunogen | A phospho specific peptide corresponding to residues surrounding S262 of human MAPT |
| Storage Buffer | Store at -20℃. Avoid freeze / thaw cycles. Buffer: PBS with 0.02% sodium azide, 50% glycerol, pH7.3. |
| Concentration | bi |
| Synonym | TAU; MSTD; PPND; DDPAC; MAPTL; MTBT1; MTBT2; FTDP-17; |

Western blot analysis of extracts from mouse brain tissue using Phospho-MAPT-S262 antibody.

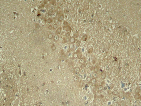
Immunohistochemical analysis of paraffin-embedded rat hippocampal region tissue from a model with Alzheimer using Phospho-MAPT-S262 antibody.

Immunofluorescence staining of methanol-fixed Hela cells using Phospho-MAPT-S262 antibody.
This gene encodes the microtubule-associated protein tau (MAPT) whose transcript undergoes complex, regulated alternative splicing, giving rise to several mRNA species. MAPT transcripts are differentially expressed in the nervous system, depending on stage of neuronal maturation and neuron type. MAPT gene mutations have been associated with several neurodegenerative disorders such as Alzheimer's disease, Pick's disease, frontotemporal dementia, cortico-basal degeneration and progressive supranuclear palsy.
N/A