Phospho-MEF2A-T312-Polyclonal Antibodies

our services
our products
Quotations & Ordering:

For quotations, please use our online quotation form, and you may also contact us by

service@kendallscientific.com

Phone:

+1-888.733.6849 (Toll-free)
+1-617.299.7367 (Int’l))

Fax:

+1-888.733.6849

Our customer service representatives are available 24 hours, Monday through Friday to assist you.

Phospho-MEF2A-T312

Qty


Total
$300
Catalog #
AP0406
Antibody Type
Polyclonal Antibody
Gene ID
4205
Swiss Prot
Q02078
Size
Species
Rabbit
Isotype
IgG
Purity
Affinity purification
Additional Information
Reactivity Human Mouse Rat
Tested applications IHC IF
Recommended Dilution IHC 1:50 - 1:100 IF 1:100 - 1:200
Calculated MW 54kDa
Observed MW Refer to Figures
Immunogen A phospho specific peptide corresponding to residues surrounding T312 of human MEF2A
Storage Buffer Store at -20℃. Avoid freeze / thaw cycles. Buffer: PBS with 0.02% sodium azide, 50% glycerol, pH7.3.
Concentration k
Synonym mef2; ADCAD1; RSRFC4; RSRFC9;
Images
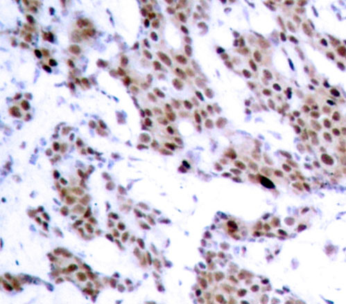
  • AP0406: image 1

    Immunohistochemical analysis of paraffin-embedded human breast carcinoma tissue using Phospho-MEF2A-T312 antibody.

  • AP0406: image 2

    Immunofluorescence staining of methanol-fixed Hela cells using Phospho-MEF2A-T312 antibody.

Background

The protein encoded by this gene is a DNA-binding transcription factor that activates many muscle-specific, growth factor-induced, and stress-induced genes. The encoded protein can act as a homodimer or as a heterodimer and is involved in several cellular processes, including muscle development, neuronal differentiation, cell growth control, and apoptosis. Defects in this gene could be a cause of autosomal dominant coronary artery disease 1 with myocardial infarction (ADCAD1). Several transcript variants encoding different isoforms have been found for this gene.

Protocol

N/A

MSDS
Reviews
Kendall Scientific welcomes feedback from its customers.

If you have used an our product and would like to share how it has performed, please click on the "Submit Review" button and provide the requested information.

If you have any additional inquiries please email technical services at info@kendallscientific.com.

Thank you for your support.

promotions


Custom Monoclonal Antibody
MassAb Technologies
Image
Free Trial Custom Polyclonal Antibody
You will receive free purified antibodies for validation
Image
Custom Peptides Synthesis

Start from $40/each

new technologies

Image
Optimized for enhanced
expression levels
XPromoter 2.0
Image
E.coli/insect cells/293 & CHO

3 in 1 expression system
Image
MassAb Technologies

Cover All Epitopes