For quotations, please use our online quotation form, and you may also contact us by
service@kendallscientific.com
+1-888.733.6849 (Toll-free)
+1-617.299.7367 (Int’l))
+1-888.733.6849
Our customer service representatives are available 24 hours, Monday through Friday to assist you.| Reactivity | Human Mouse Rat |
| Tested applications | WB IHC IF |
| Recommended Dilution | WB 1:500 - 1:1000 IHC 1:50 - 1:100 IF 1:100 - 1:200 |
| Calculated MW | 140kDa |
| Observed MW | Refer to Figures |
| Immunogen | A phospho specific peptide corresponding to residues surrounding S1177 of human NOS3 |
| Storage Buffer | Store at -20℃. Avoid freeze / thaw cycles. Buffer: PBS with 0.02% sodium azide, 50% glycerol, pH7.3. |
| Concentration | a |
| Synonym | eNOS; ECNOS; |

Western blot analysis of extracts of various cell lines, using Phospho-NOS3-S1177 antibody.

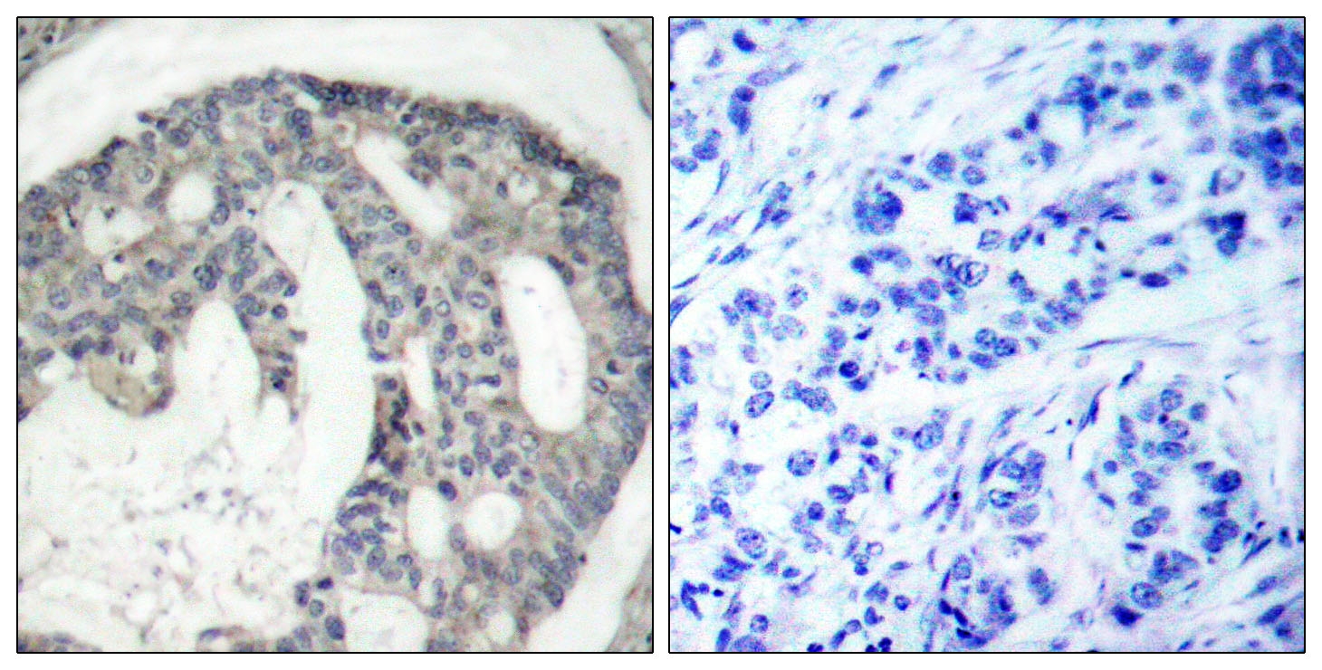
Immunohistochemical analysis of paraffin-embedded human breast carcinoma tissue using Phospho-NOS3-S1177 antibody or the same antibody preincubated with blocking peptide(right).

Immunofluorescence staining of methanol-fixed HeLa cells using Phospho-NOS3-S1177 Antibody.
Nitric oxide is a reactive free radical which acts as a biologic mediator in several processes, including neurotransmission and antimicrobial and antitumoral activities. Nitric oxide is synthesized from L-arginine by nitric oxide synthases. Variations in this gene are associated with susceptibility to coronary spasm. Multiple transcript variants encoding different isoforms have been found for this gene.
N/A