Phospho-SMC1A-S957-Polyclonal Antibodies

our services
our products
Quotations & Ordering:

For quotations, please use our online quotation form, and you may also contact us by

service@kendallscientific.com

Phone:

+1-888.733.6849 (Toll-free)
+1-617.299.7367 (Int’l))

Fax:

+1-888.733.6849

Our customer service representatives are available 24 hours, Monday through Friday to assist you.

Phospho-SMC1A-S957

Qty


Total
$300
Catalog #
AP0204
Antibody Type
Polyclonal Antibody
Gene ID
8243
Swiss Prot
Q14683
Size
Species
Rabbit
Isotype
IgG
Purity
Affinity purification
Additional Information
Reactivity Human Mouse
Tested applications WB IHC
Recommended Dilution WB 1:500 - 1:2000 IHC 1:50 - 1:100
Calculated MW 145kDa
Observed MW Refer to Figures
Immunogen A phospho specific peptide corresponding to residues surrounding S957 of human SMC1A
Storage Buffer Store at -20℃. Avoid freeze / thaw cycles. Buffer: PBS with 0.02% sodium azide, 50% glycerol, pH7.3.
Concentration bf
Synonym SMC1; SMCB; CDLS2; SB1.8; SMC1L1; DXS423E; SMC1alpha;
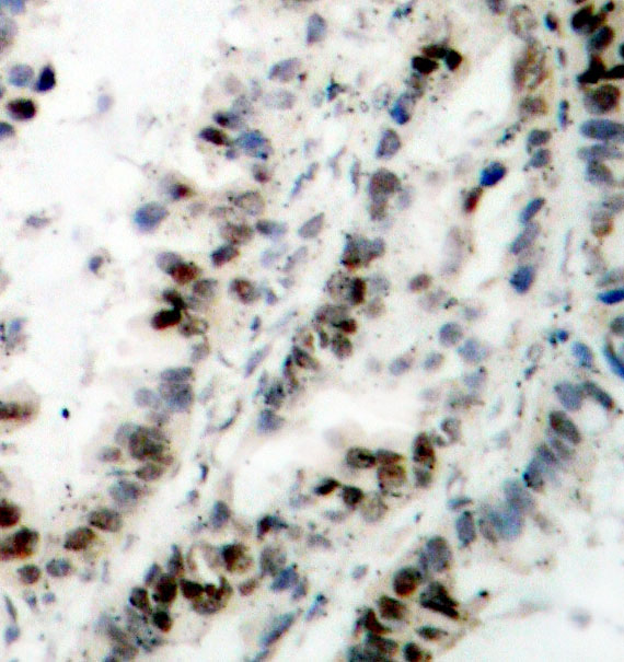
Images
  • AP0204: image 1

    Western blot analysis of extracts from 293 cells, using Phospho-SMC1A-S957 antibody.

  • AP0204: image 2

    Immunohistochemical analysis of paraffin-embedded human lung carcinoma tissue using Phospho-SMC1A-S957 antibody.

Background

Proper cohesion of sister chromatids is a prerequisite for the correct segregation of chromosomes during cell division. The cohesin multiprotein complex is required for sister chromatid cohesion. This complex is composed partly of two structural maintenance of chromosomes (SMC) proteins, SMC3 and either SMC1B or the protein encoded by this gene. Most of the cohesin complexes dissociate from the chromosomes before mitosis, although those complexes at the kinetochore remain. Therefore, the encoded protein is thought to be an important part of functional kinetochores. In addition, this protein interacts with BRCA1 and is phosphorylated by ATM, indicating a potential role for this protein in DNA repair. This gene, which belongs to the SMC gene family, is located in an area of the X-chromosome that escapes X inactivation. Mutations in this gene result in Cornelia de Lange syndrome. Alternative splicing results in multiple transcript variants encoding different isoforms.

Protocol

N/A

MSDS
Reviews
Kendall Scientific welcomes feedback from its customers.

If you have used an our product and would like to share how it has performed, please click on the "Submit Review" button and provide the requested information.

If you have any additional inquiries please email technical services at info@kendallscientific.com.

Thank you for your support.

promotions


Custom Monoclonal Antibody
MassAb Technologies
Image
Free Trial Custom Polyclonal Antibody
You will receive free purified antibodies for validation
Image
Custom Peptides Synthesis

Start from $40/each

new technologies

Image
Optimized for enhanced
expression levels
XPromoter 2.0
Image
E.coli/insect cells/293 & CHO

3 in 1 expression system
Image
MassAb Technologies

Cover All Epitopes