For quotations, please use our online quotation form, and you may also contact us by
service@kendallscientific.com
+1-888.733.6849 (Toll-free)
+1-617.299.7367 (Int’l))
+1-888.733.6849
Our customer service representatives are available 24 hours, Monday through Friday to assist you.| Reactivity | Human Mouse |
| Tested applications | WB IHC IF |
| Recommended Dilution | WB 1:500 - 1:2000 IHC 1:50 - 1:200 IF 1:50 - 1:100 |
| Calculated MW | 88kDa |
| Observed MW | Refer to figures |
| Immunogen | Recombinant protein of human QARS |
| Storage Buffer | Store at -20℃. Avoid freeze / thaw cycles. Buffer: PBS with 0.02% sodium azide, 50% glycerol, pH7.3. |
| Synonym | GLNRS; MSCCA; PRO2195; |

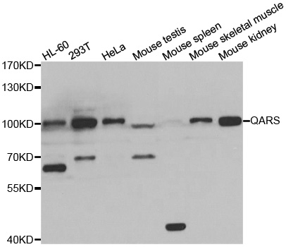
Western blot analysis of extracts of various cell lines, using QARS antibody.

Immunohistochemistry of paraffin-embedded human liver injury using QARS antibody at dilution of 1:100 (x40 lens).

Immunohistochemistry of paraffin-embedded human colon carcinoma using QARS antibody at dilution of 1:100 (x40 lens).

Immunohistochemistry of paraffin-embedded human gastric cancer using QARS antibody at dilution of 1:100 (x40 lens).

Immunofluorescence analysis of U20S cell using QARS antibody. Blue: DAPI for nuclear staining.
Aminoacyl-tRNA synthetases catalyze the aminoacylation of tRNA by their cognate amino acid. Because of their central role in linking amino acids with nucleotide triplets contained in tRNAs, aminoacyl-tRNA synthetases are thought to be among the first proteins that appeared in evolution. In metazoans, 9 aminoacyl-tRNA synthetases specific for glutamine (gln), glutamic acid (glu), and 7 other amino acids are associated within a multienzyme complex. Although present in eukaryotes, glutaminyl-tRNA synthetase (QARS) is absent from many prokaryotes, mitochondria, and chloroplasts, in which Gln-tRNA(Gln) is formed by transamidation of the misacylated Glu-tRNA(Gln). Glutaminyl-tRNA synthetase belongs to the class-I aminoacyl-tRNA synthetase family. Alternative splicing results in multiple transcript variants.
N/A