For quotations, please use our online quotation form, and you may also contact us by
service@kendallscientific.com
+1-888.733.6849 (Toll-free)
+1-617.299.7367 (Int’l))
+1-888.733.6849
Our customer service representatives are available 24 hours, Monday through Friday to assist you.| Reactivity | Human Mouse Rat |
| Tested applications | WB IHC IF |
| Recommended Dilution | WB 1:500 - 1:2000 IHC 1:50 - 1:200 IF 1:10 - 1:100 |
| Calculated MW | 24kDa |
| Observed MW | Refer to Figures |
| Immunogen | Recombinant protein of human RAB27A |
| Storage Buffer | Store at -20℃. Avoid freeze / thaw cycles. Buffer: PBS with 0.02% sodium azide, 50% glycerol, pH7.3. |
| Concentration | b |
| Synonym | GS2; RAM; RAB27; HsT18676; |

Western blot analysis of extracts of various cell lines, using RAB27A antibody.

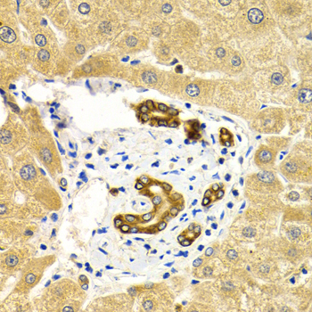
Immunohistochemistry of paraffin-embedded human liver injury using RAB27A antibody at dilution of 1:200 (400x lens).

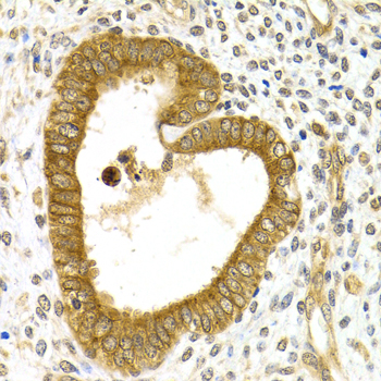
Immunohistochemistry of paraffin-embedded human adenomyosis using RAB27A antibody at dilution of 1:200 (400x lens).
The protein encoded by this gene belongs to the small GTPase superfamily, Rab family. The protein is membrane-bound and may be involved in protein transport and small GTPase mediated signal transduction. Mutations in this gene are associated with Griscelli syndrome type 2. Alternative splicing occurs at this locus and four transcript variants encoding the same protein have been identified.
N/A