For quotations, please use our online quotation form, and you may also contact us by
service@kendallscientific.com
+1-888.733.6849 (Toll-free)
+1-617.299.7367 (Int’l))
+1-888.733.6849
Our customer service representatives are available 24 hours, Monday through Friday to assist you.| Reactivity | Human Mouse |
| Tested applications | WB IHC IF IP |
| Recommended Dilution | WB 1:500 - 1:2000 IHC 1:50 - 1:200 IF 1:50 - 1:200 IP 1:20 - 1:50 |
| Calculated MW | 71kDa |
| Observed MW | Refer to Figures |
| Immunogen | Recombinant protein of human RACGAP1 |
| Storage Buffer | Store at -20℃. Avoid freeze / thaw cycles. Buffer: PBS with 0.02% sodium azide, 50% glycerol, pH7.3. |
| Concentration | d |
| Synonym | CYK4; ID-GAP; HsCYK-4; MgcRacGAP; |

Western blot analysis of extracts of various cell lines, using RACGAP1 antibody.

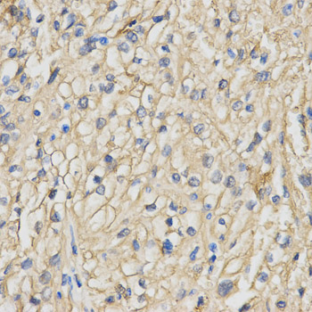
Immunohistochemistry of paraffin-embedded human kidney cancer using RACGAP1 antibody at dilution of 1:200 (x400 lens)

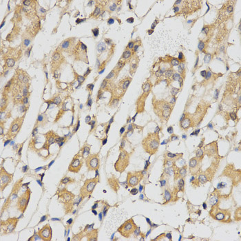
Immunohistochemistry of paraffin-embedded human stomach using RACGAP1 antibody at dilution of 1:200 (x400 lens)

Immunofluorescence analysis of U20S cell using RACGAP1 antibody. Blue: DAPI for nuclear staining.
The protein encoded by this gene belongs to the GTPase-activating protein (GAP) family. GAPs bind activated forms of Rho GTPases and stimulate GTP hydrolysis. Through this catalytic function, GAPs negatively regulate Rho-mediated signals. This protein plays a regulatory role in initiation of cytokinesis, controlling cell growth and differentiation of hematopoietic cells, regulating spermatogenesis, and in neuronal proliferation. Alternatively spliced transcript variants have been found for this gene.
N/A