For quotations, please use our online quotation form, and you may also contact us by
service@kendallscientific.com
+1-888.733.6849 (Toll-free)
+1-617.299.7367 (Int’l))
+1-888.733.6849
Our customer service representatives are available 24 hours, Monday through Friday to assist you.| Reactivity | Human Mouse Rat |
| Tested applications | WB IHC IF |
| Recommended Dilution | WB 1:500 - 1:2000 IHC 1:50 - 1:200 IF 1:50 - 1:200 |
| Calculated MW | 30-40kDa |
| Observed MW | Refer to Figures |
| Immunogen | Recombinant protein of human RAD1 |
| Storage Buffer | Store at -20℃. Avoid freeze / thaw cycles. Buffer: PBS with 0.02% sodium azide, 50% glycerol, pH7.3. |
| Concentration | e |
| Synonym | RAD1;HRAD1;REC1 ; |

Western blot analysis of Hela cell lysate using RAD1 antibody.

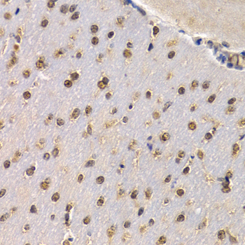
Immunohistochemistry of paraffin-embedded rat brain using RAD1 antibody at dilution of 1:200 (400x lens).

Immunohistochemistry of paraffin-embedded mouse brain using RAD1 antibody at dilution of 1:200 (400x lens).

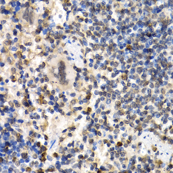
Immunohistochemistry of paraffin-embedded mouse spleen using RAD1 antibody at dilution of 1:200 (400x lens).

Immunofluorescence analysis of MCF7 cell using RAD1 antibody. Blue: DAPI for nuclear staining.
This gene encodes a component of a heterotrimeric cell cycle checkpoint complex, known as the 9-1-1 complex, that is activated to stop cell cycle progression in response to DNA damage or incomplete DNA replication. The 9-1-1 complex is recruited by RAD17 to affected sites where it may attract specialized DNA polymerases and other DNA repair effectors. Alternatively spliced transcript variants of this gene have been described. [provided by RefSeq, Jan 2009]
N/A