For quotations, please use our online quotation form, and you may also contact us by
service@kendallscientific.com
+1-888.733.6849 (Toll-free)
+1-617.299.7367 (Int’l))
+1-888.733.6849
Our customer service representatives are available 24 hours, Monday through Friday to assist you.| Reactivity | Human Mouse |
| Tested applications | WB IHC IF |
| Recommended Dilution | WB 1:500 - 1:2000 IHC 1:50 - 1:200 IF 1:50 - 1:200 |
| Calculated MW | 154kDa |
| Observed MW | Refer to Figures |
| Immunogen | A synthetic peptide of human RAD50 |
| Storage Buffer | Store at -20℃. Avoid freeze / thaw cycles. Buffer: PBS with 0.02% sodium azide, 50% glycerol, pH7.3. |
| Concentration | e |
| Synonym | NBSLD; RAD502; hRad50 |

Western blot analysis of extracts of various cell lines, using RAD50 antibody.

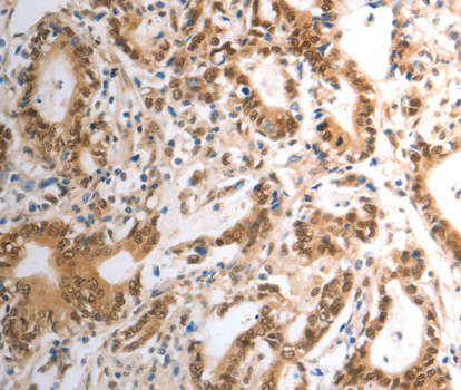
Immunohistochemistry of paraffin-embedded human gastric cancer using RAD50 antibody.

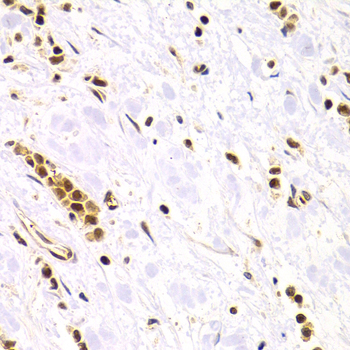
Immunohistochemistry of paraffin-embedded human metrocarcinoma using RAD50 antibody at dilution of 1:200 (400x lens).

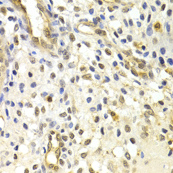
Immunohistochemistry of paraffin-embedded human stomach cancer using RAD50 antibody at dilution of 1:200 (400x lens).

Immunofluorescence analysis of U2OS cell using RAD50 antibody. Green:BRCA1 used for DNA damage marker. Blue: DAPI for nuclear staining. Cells were treated by UV-A laser.

Immunofluorescence analysis of U2OS cell using RAD50 antibody. Green:BRCA1 used for DNA damage marker. Blue: DAPI for nuclear staining. Cells were treated by UV-A laser.

Immunofluorescence analysis of U2OS cell using RAD50 antibody. Green:BRCA1 used for DNA damage marker. Blue: DAPI for nuclear staining. Cells were treated by UV-A laser.
The protein encoded by this gene is highly similar to Saccharomyces cerevisiae Rad50, a protein involved in DNA double-strand break repair. This protein forms a complex with MRE11 and NBS1. The protein complex binds to DNA and displays numerous enzymatic activities that are required for nonhomologous joining of DNA ends. This protein, cooperating with its partners, is important for DNA double-strand break repair, cell cycle checkpoint activation, telomere maintenance, and meiotic recombination. Knockout studies of the mouse homolog suggest this gene is essential for cell growth and viability. Mutations in this gene are the cause of Nijmegen breakage syndrome-like disorder.
N/A