RASGRF1-Polyclonal Antibodies

our services
our products
Quotations & Ordering:

For quotations, please use our online quotation form, and you may also contact us by

service@kendallscientific.com

Phone:

+1-888.733.6849 (Toll-free)
+1-617.299.7367 (Int’l))

Fax:

+1-888.733.6849

Our customer service representatives are available 24 hours, Monday through Friday to assist you.

RASGRF1

Qty


Total
$220
Catalog #
A6964
Antibody Type
Polyclonal Antibody
Gene ID
5923
Swiss Prot
Q13972
Size
Species
Rabbit
Isotype
IgG
Purity
Affinity purification
Additional Information
ReactivityHuman Mouse
Tested applicationsWB IHC IF
Recommended DilutionWB 1:500 - 1:2000 IHC 1:50 - 1:200 IF 1:50 - 1:100
Calculated MW145kDa
Observed MWRefer to figures
ImmunogenRecombinant protein of human RASGRF1
Storage BufferStore at -20℃. Avoid freeze / thaw cycles. Buffer: PBS with 0.02% sodium azide, 50% glycerol, pH7.3.
SynonymGNRP; GRF1; CDC25; GRF55; CDC25L; H-GRF55; PP13187; ras-GRF1;
Images
  • A6964: image 1

    Western blot analysis of extract of Mouse brain, using RASGRF1 antibody.

  • A6964: image 2

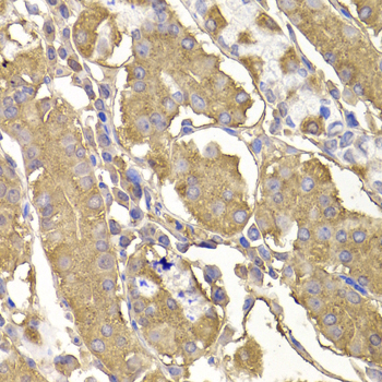
    Immunohistochemistry of paraffin-embedded human stomach using RASGRF1 antibody at dilution of 1:100 (x400 lens).

  • A6964: image 3

    Immunofluorescence analysis of U20S cell using RASGRF1 antibody. Blue: DAPI for nuclear staining.

Background

The protein encoded by this gene is a guanine nucleotide exchange factor (GEF) similar to the Saccharomyces cerevisiae CDC25 gene product. Functional analysis has demonstrated that this protein stimulates the dissociation of GDP from RAS protein. The studies of the similar gene in mouse suggested that the Ras-GEF activity of this protein in brain can be activated by Ca2+ influx, muscarinic receptors, and G protein beta-gamma subunit. Mouse studies also indicated that the Ras-GEF signaling pathway mediated by this protein may be important for long-term memory. Alternatively spliced transcript variants encoding distinct isoforms have been reported.

Protocol

N/A

MSDS
Reviews
Kendall Scientific welcomes feedback from its customers.

If you have used an our product and would like to share how it has performed, please click on the "Submit Review" button and provide the requested information.

If you have any additional inquiries please email technical services at info@kendallscientific.com.

Thank you for your support.

promotions

Image

Custom Monoclonal Antibody
MassAb Technologies
Image
Free Trial Custom Polyclonal Antibody
You will receive free purified antibodies for validation
Image
Custom Peptides Synthesis

Start from $40/each

new technologies

Image
Optimized for enhanced
expression levels
XPromoter 2.0
Image
E.coli/insect cells/293 & CHO

3 in 1 expression system
Image
MassAb Technologies

Cover All Epitopes