For quotations, please use our online quotation form, and you may also contact us by
service@kendallscientific.com
+1-888.733.6849 (Toll-free)
+1-617.299.7367 (Int’l))
+1-888.733.6849
Our customer service representatives are available 24 hours, Monday through Friday to assist you.| Reactivity | Human Mouse Rat |
| Tested applications | WB IHC IF |
| Recommended Dilution | WB 1:500 - 1:2000 IHC 1:50 - 1:200 IF 1:50 - 1:200 |
| Calculated MW | 34kDa |
| Observed MW | Refer to Figures |
| Immunogen | Recombinant Protein of human RBFOX3 |
| Storage Buffer | Store at -20℃. Avoid freeze / thaw cycles. Buffer: PBS with 0.02% sodium azide, 50% glycerol, pH7.3. |
| Synonym | FLJ56884; FLJ58356; FOX3; HRNBP3; RBFOX3; NEUN; FOX-3; |

Western blot analysis of extracts of various cells, using RBFOX3 antibody.

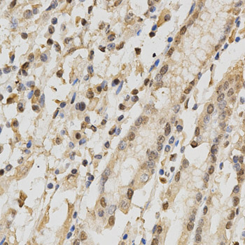
Immunohistochemistry of paraffin-embedded human stomach using RBFOX3 antibody at dilution of 1:200 (x400 lens).

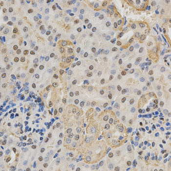
Immunohistochemistry of paraffin-embedded mouse kidney using RBFOX3 antibody at dilution of 1:200 (x400 lens).

Immunohistochemistry of paraffin-embedded Mouse brain using RBFOX3 antibody at dilution of 1:100 (x400 lens).

Immunohistochemistry of paraffin-embedded Rat brain using RBFOX3 antibody at dilution of 1:100 (x400 lens).

Immunofluorescence analysis of MCF-7 cell using RBFOX3 antibody. Blue: DAPI for nuclear staining.
NeuN, also named as FOX3 and RBFOX3, is neuronal-specific nuclear protein with MW 38-50kd(~48kd). It is one of a family of 3 mammalian Fox homologues. FOX3(Or NeuN) functions in RNA-binding protein that regulates alternative splicing events.
N/A