For quotations, please use our online quotation form, and you may also contact us by
service@kendallscientific.com
+1-888.733.6849 (Toll-free)
+1-617.299.7367 (Int’l))
+1-888.733.6849
Our customer service representatives are available 24 hours, Monday through Friday to assist you.| Reactivity | Human Mouse Rat |
| Tested applications | WB IHC IF IP |
| Recommended Dilution | WB 1:500 - 1:2000 IHC 1:50 - 1:200 IF 1:20 - 1:50 IP 1:20 - 1:50 |
| Calculated MW | 18kDa |
| Observed MW | Refer to Figures |
| Immunogen | Recombinant protein of human RPS10 |
| Storage Buffer | Store at -20℃. Avoid freeze / thaw cycles. Buffer: PBS with 0.02% sodium azide, 50% glycerol, pH7.3. |
| Concentration | fj |
| Synonym | S10; DBA9; |

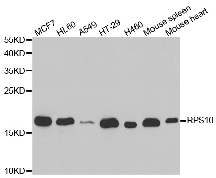
Western blot analysis of extracts of various cell lines, using RPS10 antibody.

Immunohistochemistry of paraffin-embedded rat brain using RPS10 antibody at dilution of 1:100 (x40 lens).

Immunohistochemistry of paraffin-embedded human liver injury using RPS10 antibody at dilution of 1:100 (x40 lens).

Immunohistochemistry of paraffin-embedded mouse brain using RPS10 antibody at dilution of 1:100 (x40 lens).

Immunofluorescence analysis of MCF7 cell using RPS10 antibody. Blue: DAPI for nuclear staining.
Ribosomes, the organelles that catalyze protein synthesis, consist of a small 40S subunit and a large 60S subunit. Together these subunits are composed of 4 RNA species and approximately 80 structurally distinct proteins. This gene encodes a ribosomal protein that is a component of the 40S subunit. The protein belongs to the S10E family of ribosomal proteins. It is located in the cytoplasm. Variable expression of this gene in colorectal cancers compared to adjacent normal tissues has been observed, although no correlation between the level of expression and the severity of the disease has been found. As is typical for genes encoding ribosomal proteins, there are multiple processed pseudogenes of this gene dispersed through the genome. Alternate splicing results in multiple transcript variants that encode the same protein. Naturally occurring read-through transcription occurs between this locus and the neighboring locus NUDT3 (nudix (nucleoside diphosphate linked moiety X)-type motif 3).
N/A