RUFY1-Polyclonal Antibodies

our services
our products
Quotations & Ordering:

For quotations, please use our online quotation form, and you may also contact us by

service@kendallscientific.com

Phone:

+1-888.733.6849 (Toll-free)
+1-617.299.7367 (Int’l))

Fax:

+1-888.733.6849

Our customer service representatives are available 24 hours, Monday through Friday to assist you.

RUFY1

Qty


Total
$220
Catalog #
A7836
Antibody Type
Polyclonal Antibody
Gene ID
80230
Swiss Prot
Q96T51
Size
Species
Rabbit
Isotype
IgG
Purity
Affinity purification
Additional Information
ReactivityHuman Mouse Rat
Tested applicationsWB IHC
Recommended DilutionWB 1:500 - 1:2000 IHC 1:50 - 1:200
Calculated MW80kDa
Observed MWRefer to figures
ImmunogenRecombinant protein of human RUFY1
Storage BufferStore at -20℃. Avoid freeze / thaw cycles. Buffer: PBS with 0.02% sodium azide, 50% glycerol, pH7.3.
Concentrationl
SynonymRABIP4; ZFYVE12;
Images
  • A7836: image 1

    Western blot analysis of extracts of various cells, using RUFY1 antibody.

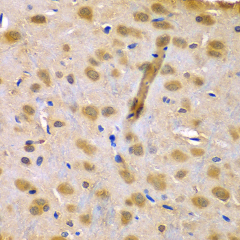
  • A7836: image 2

    Immunohistochemistry of paraffin-embedded rat brain using RUFY1 antibody at dilution of 1:100 (40x lens).

Background

This gene encodes a protein that contains a RUN domain and a FYVE-type zinc finger domain. The encoded protein binds to phosphatidylinositol-3-phosphate (PI3P) and plays a role in early endosomal trafficking, tethering and fusion through interactions with small GTPases including Rab4, Rab5 and Rab14. Alternatively spliced transcript variants encoding multiple isoforms have been observed for this gene.

Protocol

N/A

MSDS
Reviews
Kendall Scientific welcomes feedback from its customers.

If you have used an our product and would like to share how it has performed, please click on the "Submit Review" button and provide the requested information.

If you have any additional inquiries please email technical services at info@kendallscientific.com.

Thank you for your support.

promotions

Image

Custom Monoclonal Antibody
MassAb Technologies
Image
Free Trial Custom Polyclonal Antibody
You will receive free purified antibodies for validation
Image
Custom Peptides Synthesis

Start from $40/each

new technologies

Image
Optimized for enhanced
expression levels
XPromoter 2.0
Image
E.coli/insect cells/293 & CHO

3 in 1 expression system
Image
MassAb Technologies

Cover All Epitopes