For quotations, please use our online quotation form, and you may also contact us by
service@kendallscientific.com
+1-888.733.6849 (Toll-free)
+1-617.299.7367 (Int’l))
+1-888.733.6849
Our customer service representatives are available 24 hours, Monday through Friday to assist you.| Reactivity | Human Mouse Rat |
| Tested applications | WB IHC IF |
| Recommended Dilution | WB 1:500 - 1:2000 IHC 1:50 - 1:200 IF 1:50 - 1:200 |
| Calculated MW | 11kDa |
| Observed MW | Refer to Figures |
| Immunogen | Recombinant protein of human S100A11 |
| Storage Buffer | Store at -20℃. Avoid freeze / thaw cycles. Buffer: PBS with 0.02% sodium azide, 50% glycerol, pH7.3. |
| Synonym | MLN70; S100C; |

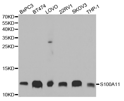
Western blot analysis of extracts of various cell lines, using S100A11 antibody.

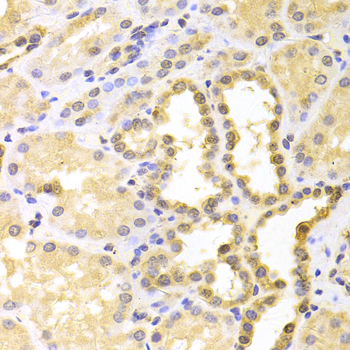
Immunohistochemistry of paraffin-embedded human kidney using S100A11 antibody at dilution of 1:100 (x400 lens).

Immunofluorescence analysis of U20S cell using S100A11 antibody. Blue: DAPI for nuclear staining.

Immunofluorescence analysis of MCF-7 cell using S100A11 antibody. Blue: DAPI for nuclear staining.
The protein encoded by this gene is a member of the S100 family of proteins containing 2 EF-hand calcium-binding motifs. S100 proteins are localized in the cytoplasm and/or nucleus of a wide range of cells, and involved in the regulation of a number of cellular processes such as cell cycle progression and differentiation. S100 genes include at least 13 members which are located as a cluster on chromosome 1q21. This protein may function in motility, invasion, and tubulin polymerization. Chromosomal rearrangements and altered expression of this gene have been implicated in tumor metastasis.
N/A