For quotations, please use our online quotation form, and you may also contact us by
service@kendallscientific.com
+1-888.733.6849 (Toll-free)
+1-617.299.7367 (Int’l))
+1-888.733.6849
Our customer service representatives are available 24 hours, Monday through Friday to assist you.| Reactivity | Human Rat |
| Tested applications | WB IHC IF |
| Recommended Dilution | WB 1:500 - 1:2000 IHC 1:50 - 1:200 IF 1:50 - 1:200 |
| Calculated MW | 11kDa |
| Observed MW | Refer to Figures |
| Immunogen | Recombinant protein of human S100A8 |
| Storage Buffer | Store at -20℃. Avoid freeze / thaw cycles. Buffer: PBS with 0.02% sodium azide, 50% glycerol, pH7.3. |
| Synonym | 60B8AG; CAGA; CFAG; CGLA; CP-10; L1Ag; MA387; MIF; MRP8; NIF; P8; |

Western blot analysis of extracts of THP-1 cell lines, using S100A8 antibody.

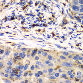
Immunohistochemistry of paraffin-embedded human esophageal cancer using S100A8 antibody at dilution of 1:100 (400x lens).

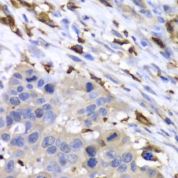
Immunohistochemistry of paraffin-embedded human esophageal cancer using S100A8 antibody at dilution of 1:100 (400x lens).

Immunofluorescence analysis of MCF7 cell using S100A8 antibody. Blue: DAPI for nuclear staining.
The protein encoded by this gene is a member of the S100 family of proteins containing 2 EF-hand calcium-binding motifs. S100 proteins are localized in the cytoplasm and/or nucleus of a wide range of cells, and involved in the regulation of a number of cellular processes such as cell cycle progression and differentiation. S100 genes include at least 13 members which are located as a cluster on chromosome 1q21. This protein may function in the inhibition of casein kinase and as a cytokine. Altered expression of this protein is associated with the disease cystic fibrosis. [provided by RefSeq, Jul 2008]
N/A