For quotations, please use our online quotation form, and you may also contact us by
service@kendallscientific.com
+1-888.733.6849 (Toll-free)
+1-617.299.7367 (Int’l))
+1-888.733.6849
Our customer service representatives are available 24 hours, Monday through Friday to assist you.| Reactivity | Human Mouse Rat |
| Tested applications | WB IHC IF |
| Recommended Dilution | WB 1:500 - 1:2000 IHC 1:50 - 1:200 IF 1:50 - 1:200 |
| Calculated MW | 28kDa |
| Observed MW | Refer to Figures |
| Immunogen | Recombinant protein of human SFN |
| Storage Buffer | Store at -20℃. Avoid freeze / thaw cycles. Buffer: PBS with 0.02% sodium azide, 50% glycerol, pH7.3. |
| Concentration | fq |
| Synonym | SFN;YWHAS ; |

Western blot analysis of extracts of various cell lines, using SFN antibody.

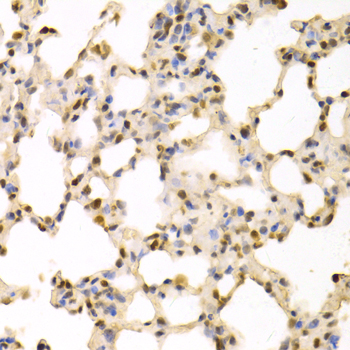
Immunohistochemistry of paraffin-embedded rat lung using SFN antibody at dilution of 1:100 (x400 lens).

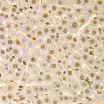
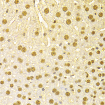
Immunohistochemistry of paraffin-embedded rat liver using SFN antibody at dilution of 1:100 (x400 lens).

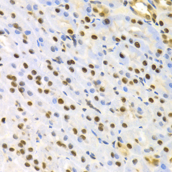
Immunohistochemistry of paraffin-embedded rat brain using SFN antibody at dilution of 1:100 (x400 lens).

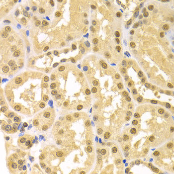
Immunohistochemistry of paraffin-embedded rat kidney using SFN antibody at dilution of 1:100 (x400 lens).

Immunohistochemistry of paraffin-embedded human liver injury using SFN antibody at dilution of 1:100 (x400 lens).

Immunohistochemistry of paraffin-embedded human kidney using SFN antibody at dilution of 1:100 (x400 lens).

Immunohistochemistry of paraffin-embedded human esophageal using SFN antibody at dilution of 1:100 (x400 lens).

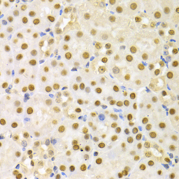
Immunohistochemistry of paraffin-embedded mouse liver using SFN antibody at dilution of 1:100 (x400 lens).

Immunohistochemistry of paraffin-embedded mouse kidney using SFN antibody at dilution of 1:100 (x400 lens).

Immunofluorescence analysis of MCF7 cell using SFN antibody. Blue: DAPI for nuclear staining.
14-3-3 proteins regulate many cellular processes relevant to cancer biology, notably apoptosis, mitogenic signaling and cell-cycle checkpoints. Seven isoforms, denoted 14-3-3 b, g, e, z, h, q and s, comprise this family of signaling intermediates. 14-3-3 s, also known as SFN, stratifin, HME1 or YWHAS, is a secreted adaptor protein that is involved in regulating both general and specific signaling pathways. Expressed predominately in stratified squamous keratinising epithelium, 14-3-3 s is able to bind and modify the activity of a large number of proteins, such as KRT17 (Keratin 17), through recognition of a phosphothreonine or phosphoserine motif. When bound to Keratin 17, for example, 14-3-3 s acts to stimulate the Akt/mTOR signaling pathway by upregulating protein synthesis and cell growth. 14-3-3 s also functions to positively mediate IGF-I-induced cell cycle progression and can bind to a variety of translation initiation factors, thus controlling mitotic translation. In response to tumor growth, 14-3-3 s positively regulates the tumor suppressor p53 and increases the rate of p53-regulated inhibition of G2/M cell cycle progression. Multiple isoforms of 14-3-3 s exist due to alternative splicing events.
N/A