SFTPC-Polyclonal Antibodies

our services
our products
Quotations & Ordering:

For quotations, please use our online quotation form, and you may also contact us by

service@kendallscientific.com

Phone:

+1-888.733.6849 (Toll-free)
+1-617.299.7367 (Int’l))

Fax:

+1-888.733.6849

Our customer service representatives are available 24 hours, Monday through Friday to assist you.

SFTPC

Qty


Total
$220
Catalog #
A1835
Antibody Type
Polyclonal Antibody
Gene ID
6440
Swiss Prot
P11686
Size
Species
Rabbit
Isotype
IgG
Purity
Affinity purification
Additional Information
ReactivityHuman Mouse Rat
Tested applicationsWB IHC IF
Recommended DilutionWB 1:500 - 1:2000 IHC 1:50 - 1:200 IF 1:50 - 1:200
Calculated MW21kDa
Observed MWRefer to Figures
ImmunogenRecombinant protein of human SFTPC
Storage BufferStore at -20℃. Avoid freeze / thaw cycles. Buffer: PBS with 0.02% sodium azide, 50% glycerol, pH7.3.
SynonymSP-C; PSP-C; SFTP2; SMDP2; BRICD6;
Images
  • A1835: image 1

    Western blot analysis of extracts of various cell lines, using SFTPC antibody.

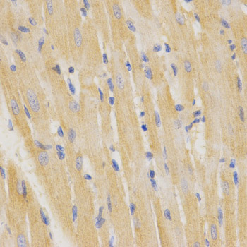
  • A1835: image 2

    Immunohistochemistry of paraffin-embedded rat heart using SFTPC antibody at dilution of 1:200 (x400 lens)

  • A1835: image 3

    Immunofluorescence analysis of U2OS cell using SFTPC antibody. Blue: DAPI for nuclear staining.

Background

This gene encodes the pulmonary-associated surfactant protein C (SPC), an extremely hydrophobic surfactant protein essential for lung function and homeostasis after birth. Pulmonary surfactant is a surface-active lipoprotein complex composed of 90% lipids and 10% proteins which include plasma proteins and apolipoproteins SPA, SPB, SPC and SPD. The surfactant is secreted by the alveolar cells of the lung and maintains the stability of pulmonary tissue by reducing the surface tension of fluids that coat the lung. Multiple mutations in this gene have been identified, which cause pulmonary surfactant metabolism dysfunction type 2, also called pulmonary alveolar proteinosis due to surfactant protein C deficiency, and are associated with interstitial lung disease in older infants, children, and adults. Alternatively spliced transcript variants encoding different protein isoforms have been identified.

Protocol

N/A

MSDS
Reviews
Kendall Scientific welcomes feedback from its customers.

If you have used an our product and would like to share how it has performed, please click on the "Submit Review" button and provide the requested information.

If you have any additional inquiries please email technical services at info@kendallscientific.com.

Thank you for your support.

promotions

Image

Custom Monoclonal Antibody
MassAb Technologies
Image
Free Trial Custom Polyclonal Antibody
You will receive free purified antibodies for validation
Image
Custom Peptides Synthesis

Start from $40/each

new technologies

Image
Optimized for enhanced
expression levels
XPromoter 2.0
Image
E.coli/insect cells/293 & CHO

3 in 1 expression system
Image
MassAb Technologies

Cover All Epitopes