SH2D1A-Polyclonal Antibodies

our services
our products
Quotations & Ordering:

For quotations, please use our online quotation form, and you may also contact us by

service@kendallscientific.com

Phone:

+1-888.733.6849 (Toll-free)
+1-617.299.7367 (Int’l))

Fax:

+1-888.733.6849

Our customer service representatives are available 24 hours, Monday through Friday to assist you.

SH2D1A

Qty


Total
$220
Catalog #
A1143
Antibody Type
Polyclonal Antibody
Gene ID
4068
Swiss Prot
O60880
Size
Species
Rabbit
Isotype
IgG
Purity
Affinity purification
Additional Information
ReactivityHuman Mouse Rat
Tested applicationsWB IHC IF
Recommended DilutionWB 1:500 - 1:2000 IHC 1:50 - 1:200 IF 1:50 - 1:200
Calculated MW14kDa
Observed MWRefer to Figures
ImmunogenRecombinant protein of human SH2D1A
Storage BufferStore at -20℃. Avoid freeze / thaw cycles. Buffer: PBS with 0.02% sodium azide, 50% glycerol, pH7.3.
SynonymSH2D1A;DSHP;EBVS;FLJ18687;FLJ92177;IMD5;LYP;MTCP1;SAP;XLP; XLPD ;
Images
  • A1143: image 1

    Western blot analysis of extracts of various cell lines, using SH2D1A antibody.

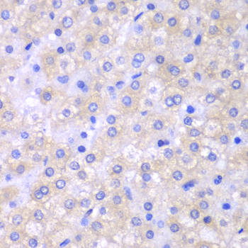
  • A1143: image 2

    Immunohistochemistry of paraffin-embedded human liver cancer using SH2D1A antibody at dilution of 1:100 (400x lens).

  • A1143: image 3

    Immunofluorescence analysis of HeLa cell using SH2D1A antibody. Blue: DAPI for nuclear staining.

Background

SH2D1A and SH2D1B are small, adaptor proteins with a single SH2-domain that play important signal transduction roles mediated by the signaling lymphocytic activation molecule (SLAM) family receptors (1). SH2D1A (also called SAP or SLAM-associated protein) is frequently mutated in patients with X-linked lymphoproliferative disease (Duncan’s disease), which is characterized by extreme susceptibility to Epstein-Barr virus; approximately 50 different SH2D1A mutations have been reported to date (2-4). The single SH2D1B gene in humans (also called EAT-2 or Ewing's sarcoma's/FLI1-activated transcript 2) is present as a pair of duplicated EAT-2A and EAT-2B genes with identical genomic organization in mouse and rat (5,6).

Protocol

N/A

MSDS
Reviews
Kendall Scientific welcomes feedback from its customers.

If you have used an our product and would like to share how it has performed, please click on the "Submit Review" button and provide the requested information.

If you have any additional inquiries please email technical services at info@kendallscientific.com.

Thank you for your support.

promotions

Image

Custom Monoclonal Antibody
MassAb Technologies
Image
Free Trial Custom Polyclonal Antibody
You will receive free purified antibodies for validation
Image
Custom Peptides Synthesis

Start from $40/each

new technologies

Image
Optimized for enhanced
expression levels
XPromoter 2.0
Image
E.coli/insect cells/293 & CHO

3 in 1 expression system
Image
MassAb Technologies

Cover All Epitopes