For quotations, please use our online quotation form, and you may also contact us by
service@kendallscientific.com
+1-888.733.6849 (Toll-free)
+1-617.299.7367 (Int’l))
+1-888.733.6849
Our customer service representatives are available 24 hours, Monday through Friday to assist you.| Reactivity | Human Rat |
| Tested applications | WB IHC |
| Recommended Dilution | WB 1:500 - 1:2000 IHC 1:50 - 1:200 |
| Calculated MW | 63kDa |
| Observed MW | Refer to figures |
| Immunogen | A synthetic peptide of human SHC1 |
| Storage Buffer | Store at -20℃. Avoid freeze / thaw cycles. Buffer: PBS with 0.02% sodium azide, 50% glycerol, pH7.3. |
| Concentration | oqr |
| Synonym | SHC; SHCA; |

Western blot analysis of extracts of various cells, using SHC1 antibody.

Immunohistochemistry of paraffin-embedded rat kidney using SHC1 antibody at dilution of 1:100 (x40 lens).

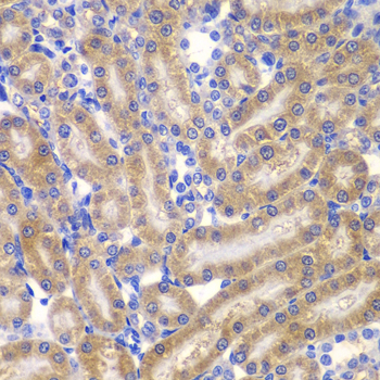
Immunohistochemistry of paraffin-embedded human kidney using SHC1 antibody at dilution of 1:100 (x40 lens).

Immunohistochemistry of paraffin-embedded human gastric using SHC1 antibody at dilution of 1:100 (x40 lens).
This gene encodes three main isoforms that differ in activities and subcellular location. While all three are adapter proteins in signal transduction pathways, the longest (p66Shc) may be involved in regulating life span and the effects of reactive oxygen species. The other two isoforms, p52Shc and p46Shc, link activated receptor tyrosine kinases to the Ras pathway by recruitment of the GRB2/SOS complex. p66Shc is not involved in Ras activation. Unlike the other two isoforms, p46Shc is targeted to the mitochondrial matrix. Several transcript variants encoding different isoforms have been found for this gene.
N/A