For quotations, please use our online quotation form, and you may also contact us by
service@kendallscientific.com
+1-888.733.6849 (Toll-free)
+1-617.299.7367 (Int’l))
+1-888.733.6849
Our customer service representatives are available 24 hours, Monday through Friday to assist you.| Reactivity | Human Mouse Rat |
| Tested applications | WB IHC IF |
| Recommended Dilution | WB 1:500 - 1:2000 IHC 1:50 - 1:100 IF 1:50 - 1:100 |
| Calculated MW | 44kDa |
| Observed MW | Refer to figures |
| Immunogen | Recombinant Protein of human SIRT3 |
| Storage Buffer | Store at -20℃. Avoid freeze / thaw cycles. Buffer: PBS with 0.02% sodium azide, 50% glycerol, pH7.3. |
| Concentration | f |
| Synonym | SIR2L3; |

Western blot analysis of extracts of various cell lines, using SIRT3 antibody.

Western blot analysis of extracts of various cell lines, using SIRT3 antibody.

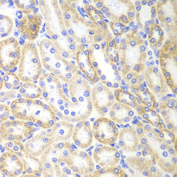
Immunohistochemistry of paraffin-embedded rat kidney using SIRT3 antibody at dilution of 1:100 (400x lens).

Immunohistochemistry of paraffin-embedded human stomach using SIRT3 antibody.

Immunohistochemistry of paraffin-embedded rat kidney using SIRT3 antibody.

Immunofluorescence analysis of MCF7 cell using SIRT3 antibody. Blue: DAPI for nuclear staining.
This gene encodes a member of the sirtuin family of proteins, homologs to the yeast Sir2 protein. Members of the sirtuin family are characterized by a sirtuin core domain and grouped into four classes. The functions of human sirtuins have not yet been determined; however, yeast sirtuin proteins are known to regulate epigenetic gene silencing and suppress recombination of rDNA. Studies suggest that the human sirtuins may function as intracellular regulatory proteins with mono-ADP-ribosyltransferase activity. The protein encoded by this gene is included in class I of the sirtuin family. Two alternatively spliced transcript variants that encode different proteins have been described for this gene.
N/A