For quotations, please use our online quotation form, and you may also contact us by
service@kendallscientific.com
+1-888.733.6849 (Toll-free)
+1-617.299.7367 (Int’l))
+1-888.733.6849
Our customer service representatives are available 24 hours, Monday through Friday to assist you.| Reactivity | Human Mouse Rat |
| Tested applications | WB IHC |
| Recommended Dilution | WB 1:500 - 1:2000 IHC 1:50 - 1:200 |
| Calculated MW | 118kDa |
| Observed MW | Refer to Figures |
| Immunogen | Recombinant protein of human SKIV2L2 |
| Storage Buffer | Store at -20℃. Avoid freeze / thaw cycles. Buffer: PBS with 0.02% sodium azide, 50% glycerol, pH7.3. |
| Concentration | j |
| Synonym | Dob1; Mtr4; fSAP118; KIAA0052 |

Western blot analysis of extracts of various cell lines, using SKIV2L2 antibody.

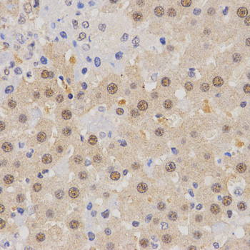
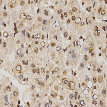
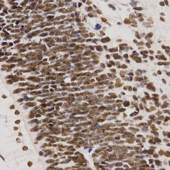
Immunohistochemistry of paraffin-embedded rat brain tissue using SKIV2L2 antibody at dilution of 1:100 (x40 lens).

Immunohistochemistry of paraffin-embedded rat heart tissue using SKIV2L2 antibody at dilution of 1:100 (x40 lens).

Immunohistochemistry of paraffin-embedded human lung cancer tissue using SKIV2L2 antibody at dilution of 1:100 (x40 lens).

Immunohistochemistry of paraffin-embedded human kidney cancer tissue using SKIV2L2 antibody at dilution of 1:100 (x40 lens).

Immunohistochemistry of paraffin-embedded rat liver tissue using SKIV2L2 antibody at dilution of 1:100 (x40 lens).

Immunohistochemistry of paraffin-embedded human liver cancer tissue using SKIV2L2 antibody at dilution of 1:100 (x40 lens).

Immunohistochemistry of paraffin-embedded human embryo brain tissue using SKIV2L2 antibody at dilution of 1:100 (x40 lens).

Immunohistochemistry of paraffin-embedded human rectal cancer tissue using SKIV2L2 antibody at dilution of 1:100 (x40 lens).

Immunohistochemistry of paraffin-embedded human colon using SKIV2L2 antibody at dilution of 1:100 (x40 lens).

Immunohistochemistry of paraffin-embedded human lung cancer using SKIV2L2 antibody at dilution of 1:100 (x40 lens).

Immunohistochemistry of paraffin-embedded human esophagus using SKIV2L2 antibody at dilution of 1:100 (x40 lens).
N/A