For quotations, please use our online quotation form, and you may also contact us by
service@kendallscientific.com
+1-888.733.6849 (Toll-free)
+1-617.299.7367 (Int’l))
+1-888.733.6849
Our customer service representatives are available 24 hours, Monday through Friday to assist you.| Reactivity | Human Mouse Rat |
| Tested applications | WB IHC IF IP CHIP |
| Recommended Dilution | WB 1:500 - 1:2000 IHC 1:50 - 1:200 IF 1:50 - 1:200 IP 1:50 - 1:200 ChIP 1:20 - 1:100 |
| Calculated MW | 44kDa |
| Observed MW | Refer to Figures |
| Immunogen | Recombinant protein of human SMARCB1 |
| Storage Buffer | Store at -20℃. Avoid freeze / thaw cycles. Buffer: PBS with 0.02% sodium azide, 50% glycerol, pH7.3. |
| Concentration | bf |
| Synonym | RDT; INI1; SNF5; Snr1; BAF47; MRD15; RTPS1; Sfh1p; hSNFS; SNF5L1; SWNTS1; |

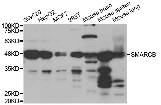
Western blot analysis of extracts of various cell lines, using SMARCB1 antibody.

Immunohistochemistry of paraffin-embedded rat Intestine using SMARCB1 antibody at dilution of 1:200 (400x lens).

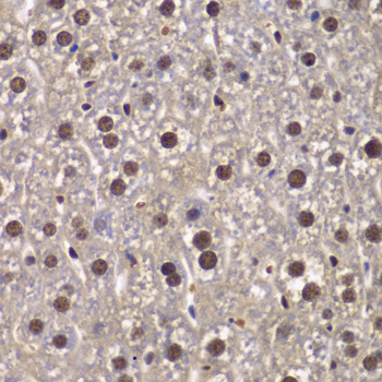
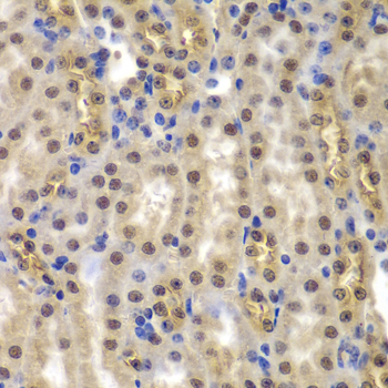
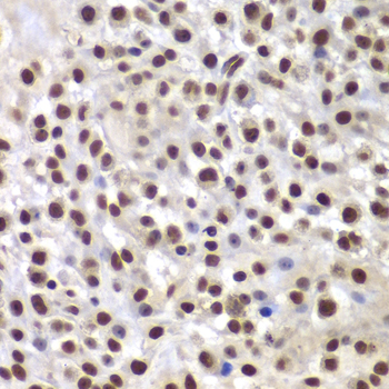
Immunohistochemistry of paraffin-embedded mouse liver using SMARCB1 antibody at dilution of 1:200 (400x lens).

Immunohistochemistry of paraffin-embedded mouse kidney using SMARCB1 antibody at dilution of 1:200 (400x lens).

Immunohistochemistry of paraffin-embedded mouse cancer using SMARCB1 antibody at dilution of 1:200 (400x lens).

Immunofluorescence analysis of U20S cell using SMARCB1 antibody. Blue: DAPI for nuclear staining.
The protein encoded by this gene is part of a complex that relieves repressive chromatin structures, allowing the transcriptional machinery to access its targets more effectively. The encoded nuclear protein may also bind to and enhance the DNA joining activity of HIV-1 integrase. This gene has been found to be a tumor suppressor, and mutations in it have been associated with malignant rhabdoid tumors. Two transcript variants encoding different isoforms have been found for this gene.
N/A