For quotations, please use our online quotation form, and you may also contact us by
service@kendallscientific.com
+1-888.733.6849 (Toll-free)
+1-617.299.7367 (Int’l))
+1-888.733.6849
Our customer service representatives are available 24 hours, Monday through Friday to assist you.| Reactivity | Human Mouse Rat |
| Tested applications | WB IHC |
| Recommended Dilution | WB 1:500 - 1:2000 IHC 1:50 - 1:100 |
| Calculated MW | 29kDa |
| Observed MW | Refer to Figures |
| Immunogen | Recombinant protein of human SNAI1 |
| Storage Buffer | Store at -20℃. Avoid freeze / thaw cycles. Buffer: PBS with 0.02% sodium azide, 50% glycerol, pH7.3. |
| Concentration | k |
| Synonym | SNA; SNAH; SNAIL; SLUGH2; SNAIL1; dJ710H13.1; |

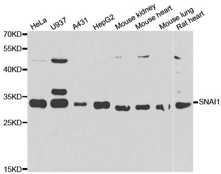
Western blot analysis of extracts of various cells, using SNAI1 antibody.

Immunohistochemistry of paraffin-embedded human colon carcinoma using SNAI1 antibody at dilution of 1:100 (40x lens).

Immunohistochemistry of paraffin-embedded human esophagus using SNAI1 antibody at dilution of 1:100 (40x lens).

Immunohistochemistry of paraffin-embedded human stomach cancer using SNAI1 antibody at dilution of 1:100 (40x lens).

Immunohistochemistry of paraffin-embedded human colon carcinoma using SNAI1 antibody at dilution of 1:100 (40x lens).

Immunohistochemistry of paraffin-embedded mouse brain using SNAI1 antibody.

Immunohistochemistry of paraffin-embedded rat brain using SNAI1 antibody.

Immunohistochemistry of paraffin-embedded rat kidney using SNAI1 antibody.
The Drosophila embryonic protein SNAI1 is a zinc finger transcriptional repressor which downregulates the expression of ectodermal genes within the mesoderm. The nuclear protein encoded by this gene is structurally similar to the Drosophila snail protein, and is also thought to be critical for mesoderm formation in the developing embryo. At least two variants of a similar processed pseudogene have been found on chromosome 2.
N/A