SPAG16-Polyclonal Antibodies

our services
our products
Quotations & Ordering:

For quotations, please use our online quotation form, and you may also contact us by

service@kendallscientific.com

Phone:

+1-888.733.6849 (Toll-free)
+1-617.299.7367 (Int’l))

Fax:

+1-888.733.6849

Our customer service representatives are available 24 hours, Monday through Friday to assist you.

SPAG16

Qty


Total
$220
Catalog #
A7482
Antibody Type
Polyclonal Antibody
Gene ID
79582
Swiss Prot
Q8N0X2
Size
Species
Rabbit
Isotype
IgG
Purity
Affinity purification
Additional Information
ReactivityHuman Mouse
Tested applicationsWB IHC
Recommended DilutionWB 1:500 - 1:2000 IHC 1:50 - 1:200
Calculated MW71kDa
Observed MWRefer to figures
ImmunogenRecombinant protein of human SPAG16
Storage BufferStore at -20℃. Avoid freeze / thaw cycles. Buffer: PBS with 0.02% sodium azide, 50% glycerol, pH7.3.
SynonymPF20; WDR29;
Images
  • A7482: image 1

    Western blot analysis of extracts of mouse testis, using SPAG16 antibody.

  • A7482: image 2

    Immunohistochemistry of paraffin-embedded human brain cancer using SPAG16 antibody at dilution of 1:100 (x400 lens).

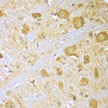
  • A7482: image 3

    Immunohistochemistry of paraffin-embedded mouse brain using SPAG16 antibody at dilution of 1:100 (x400 lens).

Background

Cilia and flagella are comprised of a microtubular backbone, the axoneme, which is organized by the basal body and surrounded by plasma membrane. SPAG16 encodes 2 major proteins that associate with the axoneme of sperm tail and the nucleus of postmeiotic germ cells, respectively (Zhang et al., 2007

Protocol

N/A

MSDS
Reviews
Kendall Scientific welcomes feedback from its customers.

If you have used an our product and would like to share how it has performed, please click on the "Submit Review" button and provide the requested information.

If you have any additional inquiries please email technical services at info@kendallscientific.com.

Thank you for your support.

promotions

Image

Custom Monoclonal Antibody
MassAb Technologies
Image
Free Trial Custom Polyclonal Antibody
You will receive free purified antibodies for validation
Image
Custom Peptides Synthesis

Start from $40/each

new technologies

Image
Optimized for enhanced
expression levels
XPromoter 2.0
Image
E.coli/insect cells/293 & CHO

3 in 1 expression system
Image
MassAb Technologies

Cover All Epitopes