SQSTM1-Polyclonal Antibodies

our services
our products
Quotations & Ordering:

For quotations, please use our online quotation form, and you may also contact us by

service@kendallscientific.com

Phone:

+1-888.733.6849 (Toll-free)
+1-617.299.7367 (Int’l))

Fax:

+1-888.733.6849

Our customer service representatives are available 24 hours, Monday through Friday to assist you.

SQSTM1

Qty


Total
$220
Catalog #
A0682
Antibody Type
Polyclonal Antibody
Gene ID
8878
Swiss Prot
Q13501
Size
Species
Rabbit
Isotype
IgG
Purity
Affinity purification
Additional Information
Reactivity Human Mouse Rat
Tested applications WB IHC IF IP FC
Recommended Dilution WB 1:1000 - 1:2000 IHC 1:50 - 1:200 IF 1:50 - 1:200 IP 1:20 - 1:50 FC 1:20 - 1:50
Calculated MW 48kDa
Observed MW Refer to Figures
Immunogen Recombinant protein of human SQSTM1
Storage Buffer Store at -20℃. Avoid freeze / thaw cycles. Buffer: PBS with 0.02% sodium azide, 50% glycerol, pH7.3.
Concentration bch
Synonym SQSTM1;A170;OSIL;PDB3;ZIP3;p60;p62;p62B ;
Images
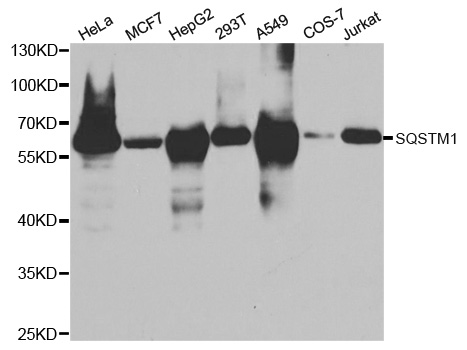
  • A0682: image 1

    Western blot analysis of extracts of various cell lines, using SQSTM1 antibody.

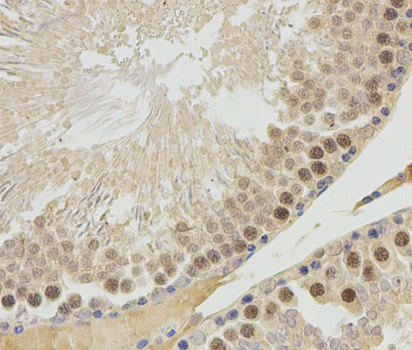
  • A0682: image 2

    Immunohistochemistry analysis of paraffin-embedded rat testis, using SQSTM1 antibody.

  • A0682: image 3

    Immunoprecipitation of extracts of HeLa cells incubated with SQSTM1 antibody.

Background

Sequestosome 1 (SQSTM1, p62) is a ubiquitin binding protein involved in cell signaling, oxidative stress, and autophagy (1-4). It was first identified as a protein that binds to the SH2 domain of p56Lck (5), and independently found to interact with PKCζ (6,7). SQSTM1 was subsequently found to interact with ubiquitin, providing a scaffold for several signaling proteins and triggering degradation of proteins through the proteasome or lysosome (8). Interaction between SQSTM1 and TRAF6 leads to the K63-linked polyubiquitination of TRAF6 and subsequent activation of the NF-κB pathway (9). Protein aggregates formed by SQSTM1 can be degraded by the autophagosome (4,10,11). SQSTM1 binds autophagosomal membrane protein LC3/Atg8, bringing SQSTM1-containing protein aggregates to the autophagosome (12). Lysosomal degradation of autophagosomes leads to a decrease in SQSTM1 levels during autophagy; conversely, autophagy inhibitors stabilize SQSTM1 levels. Studies have demonstrated a link between SQSTM1 and oxidative stress. SQSTM1 interacts with KEAP1, which is a cytoplasmic inhibitor of NRF2, a key transcription factor involved in cellular responses to oxidative stress (3). Thus, accumulation of SQSTM1 can lead to an increase in NRF2 activity.

Protocol

N/A

MSDS
Reviews
Kendall Scientific welcomes feedback from its customers.

If you have used an our product and would like to share how it has performed, please click on the "Submit Review" button and provide the requested information.

If you have any additional inquiries please email technical services at info@kendallscientific.com.

Thank you for your support.

promotions


Custom Monoclonal Antibody
MassAb Technologies
Image
Free Trial Custom Polyclonal Antibody
You will receive free purified antibodies for validation
Image
Custom Peptides Synthesis

Start from $40/each

new technologies

Image
Optimized for enhanced
expression levels
XPromoter 2.0
Image
E.coli/insect cells/293 & CHO

3 in 1 expression system
Image
MassAb Technologies

Cover All Epitopes