For quotations, please use our online quotation form, and you may also contact us by
service@kendallscientific.com
+1-888.733.6849 (Toll-free)
+1-617.299.7367 (Int’l))
+1-888.733.6849
Our customer service representatives are available 24 hours, Monday through Friday to assist you.| Reactivity | Human Mouse Rat |
| Tested applications | WB IHC IF |
| Recommended Dilution | WB 1:500 - 1:2000 IHC 1:50 - 1:200 IF 1:50 - 1:200 |
| Calculated MW | 28kDa |
| Observed MW | Refer to Figures |
| Immunogen | Recombinant Protein of human SRSF1 |
| Storage Buffer | Store at -20℃. Avoid freeze / thaw cycles. Buffer: PBS with 0.02% sodium azide, 50% glycerol, pH7.3. |
| Synonym | ASF; MGC5228; SF2; SF2p33; SRp30a; |

Western blot analysis of extracts of various cells, using SRSF1 antibody.

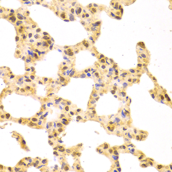
Immunohistochemistry of paraffin-embedded rat lung using SRSF1 antibody at dilution of 1:100 (x400 lens).

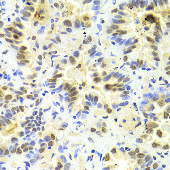
Immunohistochemistry of paraffin-embedded human lung cancer using SRSF1 antibody at dilution of 1:100 (x400 lens).

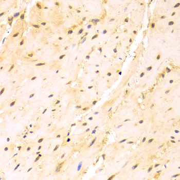
Immunohistochemistry of paraffin-embedded mouse esophagus using SRSF1 antibody at dilution of 1:100 (x400 lens).

Immunofluorescence analysis of U2OS cell using SFRS1 antibody. Blue: DAPI for nuclear staining.
SF2/ASF is a member of the Ser-Arg-rich (SR) protein family of highly conserved nuclear phosphoproteins involved in pre-mRNA splicing (1). Besides its role in nuclear pre-mRNA splicing, SF2/ASF has been shown to shuttle between the nucleus and cytoplasm, suggesting additional roles in mRNA transport and cytoplasmic events (2). SF2/ASF associates with translating ribosomes and stimulates translation (3). It also activates translation initiation by suppressing the activity of 4E-BP1, which is mediated by SF2/ASF association with mTOR and the phosphatase PP2A (4). More recent studies have demonstrated a role for SF2/ASF in microRNA processing (5).
N/A