For quotations, please use our online quotation form, and you may also contact us by
service@kendallscientific.com
+1-888.733.6849 (Toll-free)
+1-617.299.7367 (Int’l))
+1-888.733.6849
Our customer service representatives are available 24 hours, Monday through Friday to assist you.| Reactivity | Human Mouse Rat |
| Tested applications | WB IHC IF |
| Recommended Dilution | WB 1:500 - 1:2000 IHC 1:50 - 1:200 IF 1:10 - 1:100 |
| Calculated MW | 81kDa |
| Observed MW | Refer to Figures |
| Immunogen | Recombinant protein of human SSRP1 |
| Storage Buffer | Store at -20℃. Avoid freeze / thaw cycles. Buffer: PBS with 0.02% sodium azide, 50% glycerol, pH7.3. |
| Concentration | fjk |
| Synonym | FACT; T160; FACT80; |

Western blot analysis of extracts of various cell lines, using SSRP1 antibody.

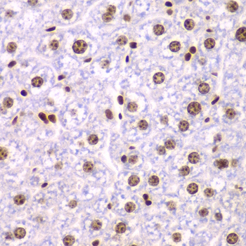
Immunohistochemistry of paraffin-embedded mouse liver using SSRP1 antibody at dilution of 1:200 (400x lens).

Immunohistochemistry of paraffin-embedded human esophageal cancer using SSRP1 antibody at dilution of 1:100 (x40 lens).

Immunofluorescence analysis of HeLa cell using SSRP1 antibody.
The protein encoded by this gene is a subunit of a heterodimer that, along with SUPT16H, forms chromatin transcriptional elongation factor FACT. FACT interacts specifically with histones H2A/H2B to effect nucleosome disassembly and transcription elongation. FACT and cisplatin-damaged DNA may be crucial to the anticancer mechanism of cisplatin. This encoded protein contains a high mobility group box which most likely constitutes the structure recognition element for cisplatin-modified DNA. This protein also functions as a co-activator of the transcriptional activator p63. An alternatively spliced transcript variant of this gene has been described, but its full-length nature is not known.
N/A