For quotations, please use our online quotation form, and you may also contact us by
service@kendallscientific.com
+1-888.733.6849 (Toll-free)
+1-617.299.7367 (Int’l))
+1-888.733.6849
Our customer service representatives are available 24 hours, Monday through Friday to assist you.| Reactivity | Human Mouse Rat |
| Tested applications | WB IHC IF |
| Recommended Dilution | WB 1:500 - 1:2000 IHC 1:50 - 1:200 IF 1:50 - 1:100 |
| Calculated MW | 22kDa |
| Observed MW | Refer to figures |
| Immunogen | Recombinant protein of human SSX5 |
| Storage Buffer | Store at -20℃. Avoid freeze / thaw cycles. Buffer: PBS with 0.02% sodium azide, 50% glycerol, pH7.3. |

Western blot analysis of extracts of various cells, using SSX5 antibody.

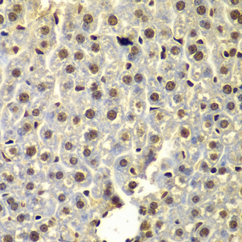
Immunohistochemistry of paraffin-embedded mouse liver using SSX5 antibody at dilution of 1:100 (x400 lens).

Immunofluorescence analysis of A549 cell using SSX5 antibody. Blue: DAPI for nuclear staining.

Immunofluorescence analysis of A549 cell using SSX5 antibody. Blue: DAPI for nuclear staining.
The product of this gene belongs to the family of highly homologous synovial sarcoma X (SSX) breakpoint proteins. These proteins may function as transcriptional repressors. They are also capable of eliciting spontaneous humoral and cellular immune responses in cancer patients, and are potentially useful targets in cancer vaccine-based immunotherapy. While some of the related SSX genes are involved in t(X;18)(p11.2;q11.2) translocations that are characteristically found in all synovial sarcomas, this gene does not appear to be involved in such translocations. Two transcript variants encoding distinct isoforms have been identified for this gene.
N/A