For quotations, please use our online quotation form, and you may also contact us by
service@kendallscientific.com
+1-888.733.6849 (Toll-free)
+1-617.299.7367 (Int’l))
+1-888.733.6849
Our customer service representatives are available 24 hours, Monday through Friday to assist you.| Reactivity | Human Mouse Rat |
| Tested applications | WB IHC |
| Recommended Dilution | WB 1:500 - 1:2000 IHC 1:50 - 1:200 |
| Calculated MW | 67kDa |
| Observed MW | Refer to Figures |
| Immunogen | Recombinant protein of human STXBP1 |
| Storage Buffer | Store at -20℃. Avoid freeze / thaw cycles. Buffer: PBS with 0.02% sodium azide, 50% glycerol, pH7.3. |
| Concentration | j |
| Synonym | P67; NSEC1; UNC18; RBSEC1; MUNC18-1; |

Western blot analysis of extracts of various cell lines, using STXBP1 antibody.

Immunohistochemistry of paraffin-embedded rat spleen using STXBP1 antibody at dilution of 1:200 (x400 lens)

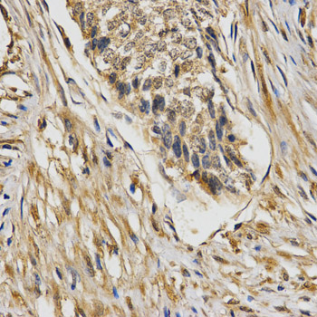
Immunohistochemistry of paraffin-embedded human esophageal cancer using STXBP1 antibody at dilution of 1:200 (x400 lens)

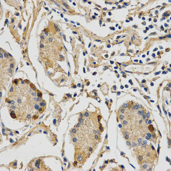
Immunohistochemistry of paraffin-embedded human stomach using STXBP1 antibody at dilution of 1:200 (x400 lens)
This gene encodes a syntaxin-binding protein. The encoded protein appears to play a role in release of neurotransmitters via regulation of syntaxin, a transmembrane attachment protein receptor. Mutations in this gene have been associated with infantile epileptic encephalopathy-4. Alternatively spliced transcript variants have been described.
N/A