For quotations, please use our online quotation form, and you may also contact us by
service@kendallscientific.com
+1-888.733.6849 (Toll-free)
+1-617.299.7367 (Int’l))
+1-888.733.6849
Our customer service representatives are available 24 hours, Monday through Friday to assist you.| Reactivity | Human Mouse Rat |
| Tested applications | WB IHC |
| Recommended Dilution | WB 1:500 - 1:2000 IHC 1:50 - 1:200 |
| Calculated MW | 34kDa |
| Observed MW | Refer to Figures |
| Immunogen | Recombinant protein of human SULT1A1 |
| Storage Buffer | Store at -20℃. Avoid freeze / thaw cycles. Buffer: PBS with 0.02% sodium azide, 50% glycerol, pH7.3. |
| Synonym | PST; STP; STP1; P-PST; ST1A1; ST1A3; TSPST1; HAST1/HAST2; |

Western blot analysis of extracts of various cell lines, using SULT1A1 antibody.

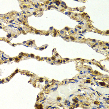
Immunohistochemistry of paraffin-embedded humanl lung cancer using SULT1A1 antibody at dilution of 1:200 (x40 lens).

Immunohistochemistry of paraffin-embedded mouse kidney using SULT1A1 antibody at dilution of 1:100 (x40 lens).

Immunohistochemistry of paraffin-embedded rat brain using SULT1A1 antibody at dilution of 1:100 (x40 lens).

Immunohistochemistry of paraffin-embedded rat kidney using SULT1A1 antibody at dilution of 1:100 (x40 lens).

Immunohistochemistry of paraffin-embedded human liver injury using SULT1A1 antibody at dilution of 1:100 (x40 lens).
SULT1A1, also named as ST1A1, P-PST 1, ST1A3, Ts-PST, P-PST 1, STP and STP1, belongs to the sulfotransferase 1 family. It catalyzes the sulfate conjugation of catecholamines, phenolic drugs and neurotransmitters. SULT1A1 is also responsible for the sulfation and activation of minoxidil. It mediates the metabolic activation of carcinogenic N-hydroxyarylamines to DNA binding products and could so participate as modulating factor of cancer risk. SULT1A1 is one of two phenol sulfotransferases with thermostable enzyme activity.
N/A