For quotations, please use our online quotation form, and you may also contact us by
service@kendallscientific.com
+1-888.733.6849 (Toll-free)
+1-617.299.7367 (Int’l))
+1-888.733.6849
Our customer service representatives are available 24 hours, Monday through Friday to assist you.| Reactivity | Human Mouse Rat |
| Tested applications | WB IHC ICC IF IP |
| Recommended Dilution | WB 1:500 - 1:2000 IHC 1:50 - 1:100 ICC 1:50 - 1:200 IF 1:50 - 1:200 IP 1:50 - 1:100 |
| Calculated MW | 12kDa |
| Observed MW | Refer to Figures |
| Immunogen | Recombinant protein of human SUMO1 |
| Storage Buffer | Store at -20℃. Avoid freeze / thaw cycles. Buffer: PBS with 0.02% sodium azide, 50% glycerol, pH7.3. |
| Concentration | hjop |
| Synonym | DAP-1; GMP1; OFC10; PIC1; SENP2; SMT3; SMT3C; SMT3H3; SUMO-1; UBL1; |

Western blot analysis of extracts of HeLa cell line, using SUMO1 antibody.

Immunohistochemistry of paraffin-embedded rat testis using SUMO1 antibody at dilution of 1:200 (x400 lens).

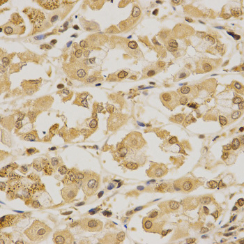
Immunohistochemistry of paraffin-embedded human stomach using SUMO1 antibody at dilution of 1:200 (x400 lens).

Immunohistochemistry of paraffin-embedded human stomach using SUMO1 antibody at dilution of 1:100 (x400 lens).

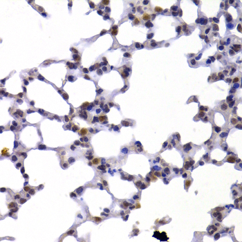
Immunohistochemistry of paraffin-embedded mouse lung using SUMO1 antibody at dilution of 1:100 (x400 lens).

Immunohistochemistry of paraffin-embedded mouse lung using SUMO1 antibody at dilution of 1:100 (x400 lens).

Immunohistochemistry of paraffin-embedded mouse brain using SUMO1 antibody.

Immunohistochemistry of paraffin-embedded rat heart using SUMO1 antibody.

Immunohistochemistry of paraffin-embedded human stomach using SUMO1 antibody.

Immunofluorescence analysis of MCF7 cell using SUMO1 antibody. Blue: DAPI for nuclear staining.

Immunofluorescence analysis of GFP-RNF168 trangenic U2OS cell using SUMO1 antibody. Green:GFP-RNF168 fusion protein expression for DNA damage marker.Blue: DAPI for nuclear staining.RNF168(GFP) can be used to mark cells damaged by UV-A laser for they always gather around DNA damage region.
Small ubiquitin-related modifier 1, 2 and 3 (SUMO-1, -2 and -3) are members of the ubiquitin-like protein family (1). The covalent attachment of the SUMO-1, -2 or -3 (SUMOylation) to target proteins is analogous to ubiquitination. This post-translational modification is a reversible, multi-step process that is initiated by cleaving a precursor protein to a mature protein. Mature SUMO-1, -2 or -3 is then linked to the activating enzyme E1, conjugated to E2 and in conjunction with E3, SUMO-1, -2 or -3 is ligated to the target protein (2). Ubiquitin and the individual SUMO family members are all targeted to different proteins with diverse biological functions. Ubiquitin predominantly regulates degradation of its target (1). In contrast, SUMO-1 is conjugated to RanGAP, PML, p53 and IκB-α to regulate nuclear trafficking, formation of subnuclear structures, regulation of transcriptional activity and protein stability (3-7). SUMO-2/-3 forms poly-(SUMO) chains, is conjugated to topoisomerase II and APP, regulates chromosomal segregation and cellular responses to environmental stress, and plays a role in the progression of Alzheimer disease (8-11).
N/A