For quotations, please use our online quotation form, and you may also contact us by
service@kendallscientific.com
+1-888.733.6849 (Toll-free)
+1-617.299.7367 (Int’l))
+1-888.733.6849
Our customer service representatives are available 24 hours, Monday through Friday to assist you.| Reactivity | Human Mouse Rat |
| Tested applications | WB IHC |
| Recommended Dilution | WB 1:1000 - 1:2000 IHC 1:100 - 1:300 |
| Calculated MW | 12kDa |
| Observed MW | Refer to Figures |
| Immunogen | A synthetic peptide of human SUMO4 |
| Storage Buffer | Store at -20℃. Avoid freeze / thaw cycles. Buffer: PBS with 0.02% sodium azide, 50% glycerol, pH7.3. |
| Concentration | hop |
| Synonym | IDDM5; SMT3H4; SUMO-4; dJ281H8.4; |

Western blot analysis of extracts of various cell lines, using SUMO4 antibody.

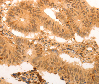
Immunohistochemistry of paraffin-embedded Human colon cancer tissue using SUMO4 Antibody at dilution 1/100.

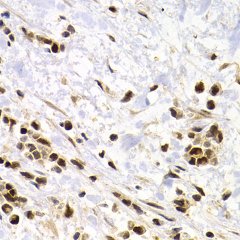
Immunohistochemistry of paraffin-embedded human kidney cancer using SUMO4 antibody at dilution of 1:200 (400x lens).
This gene is a member of the SUMO gene family. This family of genes encode small ubiquitin-related modifiers that are attached to proteins and control the target proteins' subcellular localization, stability, or activity. The protein described in this record is located in the cytoplasm and specifically modifies IKBA, leading to negative regulation of NF-kappa-B-dependent transcription of the IL12B gene. A specific polymorphism in this SUMO gene, which leads to the M55V substitution, has been associated with type I diabetes. The RefSeq contains this polymorphism.
N/A