For quotations, please use our online quotation form, and you may also contact us by
service@kendallscientific.com
+1-888.733.6849 (Toll-free)
+1-617.299.7367 (Int’l))
+1-888.733.6849
Our customer service representatives are available 24 hours, Monday through Friday to assist you.| Reactivity | Human Mouse Rat |
| Tested applications | WB IHC IF |
| Recommended Dilution | WB 1:500 - 1:2000 IHC 1:50 - 1:200 IF 1:50 - 1:100 |
| Calculated MW | 56kDa |
| Observed MW | Refer to figures |
| Immunogen | Recombinant protein of human TBL1XR1 |
| Storage Buffer | Store at -20℃. Avoid freeze / thaw cycles. Buffer: PBS with 0.02% sodium azide, 50% glycerol, pH7.3. |
| Synonym | C21; DC42; IRA1; TBLR1; |

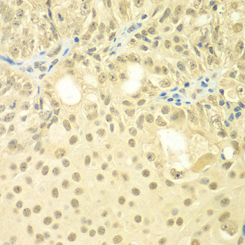
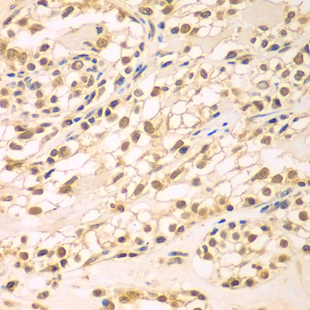
Immunohistochemistry of paraffin-embedded human oophoroma using TBL1XR1 antibody at dilution of 1:100 (x400 lens).

Immunohistochemistry of paraffin-embedded human brain cancer using TBL1XR1 antibody at dilution of 1:100 (x400 lens).

Immunohistochemistry of paraffin-embedded human kidney using TBL1XR1 antibody at dilution of 1:100 (x400 lens).

Immunofluorescence analysis of A549 cell using TBL1XR1 antibody.
The protein encoded by this gene has sequence similarity with members of the WD40 repeat-containing protein family. The WD40 group is a large family of proteins, which appear to have a regulatory function. It is believed that the WD40 repeats mediate protein-protein interactions and members of the family are involved in signal transduction, RNA processing, gene regulation, vesicular trafficking, cytoskeletal assembly and may play a role in the control of cytotypic differentiation.
N/A