TCTN3-Polyclonal Antibodies

our services
our products
Quotations & Ordering:

For quotations, please use our online quotation form, and you may also contact us by

service@kendallscientific.com

Phone:

+1-888.733.6849 (Toll-free)
+1-617.299.7367 (Int’l))

Fax:

+1-888.733.6849

Our customer service representatives are available 24 hours, Monday through Friday to assist you.

TCTN3

Qty


Total
$220
Catalog #
A0684
Antibody Type
Polyclonal Antibody
Gene ID
26123
Swiss Prot
Q6NUS6
Size
Species
Rabbit
Isotype
IgG
Purity
Affinity purification
Additional Information
Reactivity Human Mouse Rat
Tested applications WB IHC
Recommended Dilution WB 1:500 - 1:2000 IHC 1:50 - 1:200
Calculated MW 66kDa
Observed MW Refer to Figures
Immunogen Recombinant protein of human TCTN3
Storage Buffer Store at -20℃. Avoid freeze / thaw cycles. Buffer: PBS with 0.02% sodium azide, 50% glycerol, pH7.3.
Concentration b
Synonym TCTN3;C10orf61;DKFZp564D116;TECT3 ;Tectonic-3;
Images
  • A0684: image 1

    Western blot analysis of various cell lines using TCTN3 antibody.

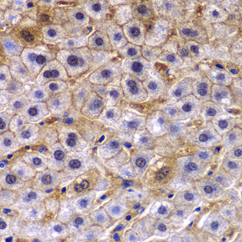
  • A0684: image 2

    Immunohistochemistry of paraffin-embedded human liver cancer using TCTN3 antibody at dilution of 1:100 (40x lens).

Background

Tect3 (tectonic-3), also known as TCTN3, is a 607 amino acid single-pass type I membrane protein that belongs to the tectonic family and exists as four alternatively spliced isoforms. Tect3 interacts with MKS1 and may be involved in apoptosis regulation. The gene that encodes Tect3 contains approximately 31,560 bases and maps to human chromosome 10q24.1. Spanning nearly 135 million base pairs and encoding nearly 1,200 genes, chromosome 10 makes up approximately 4.5% of the human genome. Several protein-coding genes, including those that encode chemokines, cadherins, excision repair proteins, early growth response factors (Egrs) and fibroblast growth receptors (FGFRs), are located on chromosome 10. Defects in some of the genes that map to chromosome 10 are associated with Charcot-Marie Tooth disease, Jackson-Weiss syndrome, Usher syndrome, nonsyndromatic deafness, Wolman’s syndrome, Cowden syndrome, Cockayne syndrome, multiple endocrine neoplasia type 2 and porphyria. Tetrahydrobiopterin deficiency and a number of syndromes involving defective skull and facial bone fusion are also linked to chromosome 10.

Protocol

N/A

MSDS
Reviews
Kendall Scientific welcomes feedback from its customers.

If you have used an our product and would like to share how it has performed, please click on the "Submit Review" button and provide the requested information.

If you have any additional inquiries please email technical services at info@kendallscientific.com.

Thank you for your support.

promotions


Custom Monoclonal Antibody
MassAb Technologies
Image
Free Trial Custom Polyclonal Antibody
You will receive free purified antibodies for validation
Image
Custom Peptides Synthesis

Start from $40/each

new technologies

Image
Optimized for enhanced
expression levels
XPromoter 2.0
Image
E.coli/insect cells/293 & CHO

3 in 1 expression system
Image
MassAb Technologies

Cover All Epitopes