TFCP2-Polyclonal Antibodies

our services
our products
Quotations & Ordering:

For quotations, please use our online quotation form, and you may also contact us by

service@kendallscientific.com

Phone:

+1-888.733.6849 (Toll-free)
+1-617.299.7367 (Int’l))

Fax:

+1-888.733.6849

Our customer service representatives are available 24 hours, Monday through Friday to assist you.

TFCP2

Qty


Total
$220
Catalog #
A5555
Antibody Type
Polyclonal Antibody
Gene ID
7024
Swiss Prot
Q12800
Size
Species
Rabbit
Isotype
IgG
Purity
Affinity purification
Additional Information
ReactivityHuman Mouse Rat
Tested applicationsWB IHC
Recommended DilutionWB 1:500 - 1:2000 IHC 1:50 - 1:200
Calculated MW57kDa
Observed MWRefer to Figures
ImmunogenRecombinant protein of human TFCP2
Storage BufferStore at -20℃. Avoid freeze / thaw cycles. Buffer: PBS with 0.02% sodium azide, 50% glycerol, pH7.3.
Concentrationk
SynonymLSF; SEF; LBP1C; LSF1D; TFCP2C;
Images
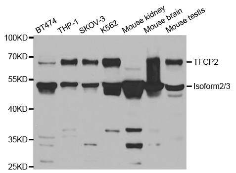
  • A5555: image 1

    Western blot analysis of extracts of various cell lines, using TFCP2 antibody.

Background

This gene encodes a transcription factor that binds the alpha-globin promoter and activates transcription of the alpha-globin gene. The encoded protein regulates erythroid gene expression, plays a role in the transcriptional switch of globin gene promoters, and it activates many other cellular and viral gene promoters. The gene product interacts with certain inflammatory response factors, and polymorphisms of this gene may be involved in the pathogenesis of Alzheimer's disease.

Protocol

N/A

MSDS
Reviews
Kendall Scientific welcomes feedback from its customers.

If you have used an our product and would like to share how it has performed, please click on the "Submit Review" button and provide the requested information.

If you have any additional inquiries please email technical services at info@kendallscientific.com.

Thank you for your support.

promotions

Image

Custom Monoclonal Antibody
MassAb Technologies
Image
Free Trial Custom Polyclonal Antibody
You will receive free purified antibodies for validation
Image
Custom Peptides Synthesis

Start from $40/each

new technologies

Image
Optimized for enhanced
expression levels
XPromoter 2.0
Image
E.coli/insect cells/293 & CHO

3 in 1 expression system
Image
MassAb Technologies

Cover All Epitopes