For quotations, please use our online quotation form, and you may also contact us by
service@kendallscientific.com
+1-888.733.6849 (Toll-free)
+1-617.299.7367 (Int’l))
+1-888.733.6849
Our customer service representatives are available 24 hours, Monday through Friday to assist you.| Reactivity | Human Mouse Rat |
| Tested applications | WB IHC |
| Recommended Dilution | WB 1:500 - 1:2000 IHC 1:50 - 1:200 |
| Calculated MW | 45kDa |
| Observed MW | Refer to Figures |
| Immunogen | Recombinant protein of human TFDP1 |
| Storage Buffer | Store at -20℃. Avoid freeze / thaw cycles. Buffer: PBS with 0.02% sodium azide, 50% glycerol, pH7.3. |
| Concentration | bk |
| Synonym | DP1; Dp-1; DRTF1; |

Western blot analysis of extracts of various cell lines, using TFDP1 antibody.

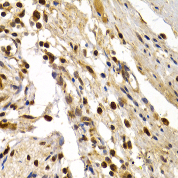
Immunohistochemistry of paraffin-embedded human colon damage using TFDP1 antibody at dilution of 1:200 (400x lens).

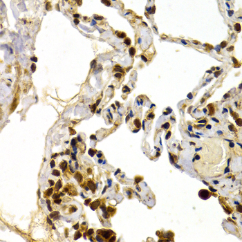
Immunohistochemistry of paraffin-embedded human normal lung using TFDP1 antibody at dilution of 1:200 (400x lens).
This gene encodes a member of a family of transcription factors that heterodimerize with E2F proteins to enhance their DNA-binding activity and promote transcription from E2F target genes. The encoded protein functions as part of this complex to control the transcriptional activity of numerous genes involved in cell cycle progression from G1 to S phase. Alternative splicing results in multiple transcript variants. Pseudogenes of this gene are found on chromosomes 1, 15, and X.
N/A