TGS1-Polyclonal Antibodies

our services
our products
Quotations & Ordering:

For quotations, please use our online quotation form, and you may also contact us by

service@kendallscientific.com

Phone:

+1-888.733.6849 (Toll-free)
+1-617.299.7367 (Int’l))

Fax:

+1-888.733.6849

Our customer service representatives are available 24 hours, Monday through Friday to assist you.

TGS1

Qty


Total
$220
Catalog #
A7848
Antibody Type
Polyclonal Antibody
Gene ID
96764
Swiss Prot
Q96RS0
Size
Species
Rabbit
Isotype
IgG
Purity
Affinity purification
Additional Information
Reactivity Human Mouse
Tested applications WB IHC
Recommended Dilution WB 1:500 - 1:2000 IHC 1:50 - 1:200
Calculated MW 97kDa
Observed MW Refer to figures
Immunogen Recombinant protein of human TGS1
Storage Buffer Store at -20℃. Avoid freeze / thaw cycles. Buffer: PBS with 0.02% sodium azide, 50% glycerol, pH7.3.
Concentration f
Synonym PIMT; PIPMT; NCOA6IP;
Images
  • A7848: image 1

    Western blot analysis of extracts of various cells, using TGS1 antibody.

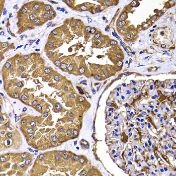
  • A7848: image 2

    Immunohistochemistry of paraffin-embedded human kidney using TGS1 antibody at dilution of 1:100 (40x lens).

Background

Protocol

N/A

MSDS
Reviews
Kendall Scientific welcomes feedback from its customers.

If you have used an our product and would like to share how it has performed, please click on the "Submit Review" button and provide the requested information.

If you have any additional inquiries please email technical services at info@kendallscientific.com.

Thank you for your support.

promotions


Custom Monoclonal Antibody
MassAb Technologies
Image
Free Trial Custom Polyclonal Antibody
You will receive free purified antibodies for validation
Image
Custom Peptides Synthesis

Start from $40/each

new technologies

Image
Optimized for enhanced
expression levels
XPromoter 2.0
Image
E.coli/insect cells/293 & CHO

3 in 1 expression system
Image
MassAb Technologies

Cover All Epitopes