For quotations, please use our online quotation form, and you may also contact us by
service@kendallscientific.com
+1-888.733.6849 (Toll-free)
+1-617.299.7367 (Int’l))
+1-888.733.6849
Our customer service representatives are available 24 hours, Monday through Friday to assist you.| Reactivity | Human Mouse Rat |
| Tested applications | WB IHC |
| Recommended Dilution | WB 1:1000 - 1:2000 IHC 1:50 - 1:100 |
| Calculated MW | 26kDa |
| Observed MW | Refer to Figures |
| Immunogen | Recombinant protein of human TNF |
| Storage Buffer | Store at -20℃. Avoid freeze / thaw cycles. Buffer: PBS with 0.02% sodium azide, 50% glycerol, pH7.3. |
| Concentration | bip |
| Synonym | TNF ; TNFSF2; DIF; Tumor necrosis factor; TNF a; TNF alpha |

Immunohistochemistry of paraffin-embedded mouse brain using TNF antibody at dilution of 1:100 (40x lens).

Immunohistochemistry of paraffin-embedded rat brain using TNF antibody at dilution of 1:100 (40x lens).

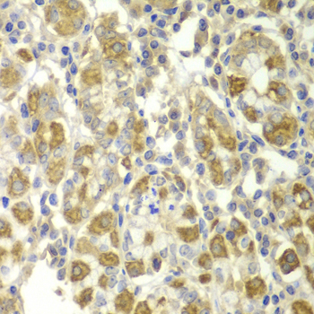
Immunohistochemistry of paraffin-embedded human esophagus using TNF antibody at dilution of 1:100 (40x lens).
TNF-α, the prototypical member of the TNF protein superfamily, is a homotrimeric type-II membrane protein (1,2). Membrane-bound TNF-α is cleaved by the metalloprotease TACE/ADAM17 to generate a soluble homotrimer (2). Both membrane and soluble forms of TNF-α are biologically active. TNF-α is produced by a variety of immune cells including T cells, B cells, NK cells, and macrophages (1). Cellular response to TNF-α is mediated through interaction with receptors TNF-R1 and TNF-R2 and results in activation of pathways that favor both cell survival and apoptosis depending on the cell type and biological context. Activation of kinase pathways (including JNK, Erk (p44/42), p38 MAPK, and NF-κB) promotes the survival of cells, while TNF-α-mediated activation of caspase-8 leads to programmed cell death (1,2). TNF-α plays a key regulatory role in inflammation and host defense against bacterial infection, notably Mycobacterium tuberculosis (3). The role of TNF-α in autoimmunity is underscored by blocking TNF-α action to treat rheumatoid arthritis and Crohn’s disease (1,2,4).
N/A