For quotations, please use our online quotation form, and you may also contact us by
service@kendallscientific.com
+1-888.733.6849 (Toll-free)
+1-617.299.7367 (Int’l))
+1-888.733.6849
Our customer service representatives are available 24 hours, Monday through Friday to assist you.| Reactivity | Human Rat |
| Tested applications | WB IHC IF |
| Recommended Dilution | WB 1:500 - 1:2000 IHC 1:50 - 1:200 IF 1:10 - 1:100 |
| Calculated MW | 48kDa |
| Observed MW | Refer to Figures |
| Immunogen | Recombinant protein of human TNFRSF1B |
| Storage Buffer | Store at -20℃. Avoid freeze / thaw cycles. Buffer: PBS with 0.02% sodium azide, 50% glycerol, pH7.3. |
| Concentration | bip |
| Synonym | TNFRSF1B;CD120b;TBPII;TNF-R-II;TNF-R75;TNFBR;TNFR1B;TNFR2;TNFR80;p75;p75TNFR ; |

Western blot analysis of extracts of THP-1 cell line, using TNFRSF1B antibody.

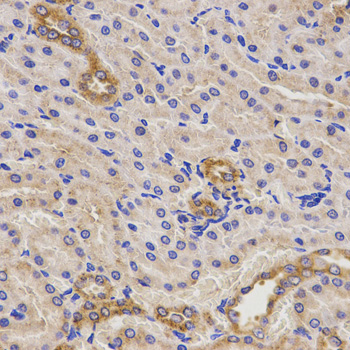
Immunohistochemistry of paraffin-embedded rat kidney using TNFRSF1B antibody at dilution of 1:200 (x400 lens).

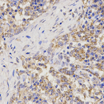
Immunohistochemistry of paraffin-embedded human lung cancer using TNFRSF1B antibody at dilution of 1:200 (x400 lens).

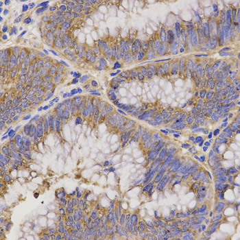
Immunohistochemistry of paraffin-embedded human rectal cancer using TNFRSF1B antibody at dilution of 1:200 (x400 lens).

Immunofluorescence analysis of U2OS cell using TNFRSF1B antibody. Blue: DAPI for nuclear staining.
TNF-α is an important cytokine produced by numerous cell types including neutrophils, activated lymphoctyes, macrophages an NK cells. It plays a critical role in inflammatory responses and in apoptosis (1). TNF-α exists as a membrane-anchored and soluble form, both of which show biological activity. Response to TNF-α is mediated through two receptors, TNF-R1, which is widely expressed, and TNF-R2, which is expressed mainly in immune and endothelial cells (2). Antagonists to TNF-α have been validated as therapeutic targets for rheumatoid arthritis and other immune disorders (3).The two receptors for TNF-α, TNF-R1 (55 kDa) and TNF-R2 (75 kDa) can mediate distinct cellular responses (4,5). In most cases cytotoxicity elicited by TNF has been reported to act throught TNF-R1 (6,7). In contrast, TNF-R2 appears to be important in T cell signaling and responses to infection (7,8). TNF-R2 binds to distinct members of the TRAF family leading to the activation of NF-κB (9,10). Soluble forms of both receptors have also been characterized which can bind TNF-α and may play an important role in immune disorders (11,12).
N/A