TOLLIP-Polyclonal Antibodies

our services
our products
Quotations & Ordering:

For quotations, please use our online quotation form, and you may also contact us by

service@kendallscientific.com

Phone:

+1-888.733.6849 (Toll-free)
+1-617.299.7367 (Int’l))

Fax:

+1-888.733.6849

Our customer service representatives are available 24 hours, Monday through Friday to assist you.

TOLLIP

Qty


Total
$220
Catalog #
A2202
Antibody Type
Polyclonal Antibody
Gene ID
54472
Swiss Prot
Q9H0E2
Size
Species
Rabbit
Isotype
IgG
Purity
Affinity purification
Additional Information
ReactivityHuman Mouse Rat
Tested applicationsWB IHC IF
Recommended DilutionWB 1:500 - 1:2000 IHC 1:50 - 1:200 IF 1:50 - 1:200
Calculated MW30kDa
Observed MWRefer to Figures
ImmunogenRecombinant protein of human TOLLIP
Storage BufferStore at -20℃. Avoid freeze / thaw cycles. Buffer: PBS with 0.02% sodium azide, 50% glycerol, pH7.3.
Concentrations
SynonymFLJ33531; IL-1RAcPIP;
Images
  • A2202: image 1

    Western blot analysis of extracts of various cell lines, using TOLLIP antibody.

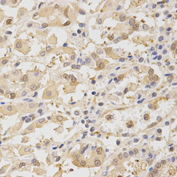
  • A2202: image 2

    Immunohistochemistry of paraffin-embedded human stomach using TOLLIP antibody at dilution of 1:200 (x400 lens)

  • A2202: image 3

    Immunofluorescence analysis of U2OS cell using TOLLIP antibody. Blue: DAPI for nuclear staining.

Background

innate immune responses (1-3). TLRs recognize conserved motifs found in various pathogens and mediate defense responses. Triggering of the TLR pathway leads to the activation of NF-κB and subsequent regulation of immune and inflammatory genes. The TLRs and members of the IL-1 receptor family share a conserved stretch of approximately 200 amino acids known as the Toll/Interleukin-1 receptor (TIR) domain. Upon activation, TLRs associate with a number of cytoplasmic adaptor proteins containing TIR domains, including myeloid differentiation factor 88 (MyD88), MyD88-adaptor-like/TIR-associated protein (MAL/TIRAP), Toll-receptor-associated activator of interferon (TRIF), and Toll-receptor-associated molecule (TRAM). This association leads to the recruitment and activation of IRAK1 and IRAK4, which form a complex with TRAF6 to activate TAK1 and IKK. Activation of IKK leads to the degradation of IκB, which normally maintains NF-κB in an inactive state by sequestering it in the cytoplasm.Tollip (Toll interacting protein) is an adaptor protein discovered to be associated with the IRAK complex and recruited to IL1-R following IL-1 stimulation (4). Overexpression of Tollip results in impaired NF-κB signaling (4). Tollip also associates directly with TLR2 and TLR4 and inhibits TLR-mediated signaling through inhibition of IRAK (5). Studies of Tollip deficient mice suggest that it plays a role in the regulation of inflammatory cytokines in response to IL-1 and LPS (6).

Protocol

N/A

MSDS
Reviews
Kendall Scientific welcomes feedback from its customers.

If you have used an our product and would like to share how it has performed, please click on the "Submit Review" button and provide the requested information.

If you have any additional inquiries please email technical services at info@kendallscientific.com.

Thank you for your support.

promotions

Image

Custom Monoclonal Antibody
MassAb Technologies
Image
Free Trial Custom Polyclonal Antibody
You will receive free purified antibodies for validation
Image
Custom Peptides Synthesis

Start from $40/each

new technologies

Image
Optimized for enhanced
expression levels
XPromoter 2.0
Image
E.coli/insect cells/293 & CHO

3 in 1 expression system
Image
MassAb Technologies

Cover All Epitopes