TPM1-Polyclonal Antibodies

our services
our products
Quotations & Ordering:

For quotations, please use our online quotation form, and you may also contact us by

service@kendallscientific.com

Phone:

+1-888.733.6849 (Toll-free)
+1-617.299.7367 (Int’l))

Fax:

+1-888.733.6849

Our customer service representatives are available 24 hours, Monday through Friday to assist you.

TPM1

Qty


Total
$220
Catalog #
A1157
Antibody Type
Polyclonal Antibody
Gene ID
7168
Swiss Prot
P09493
Size
Species
Rabbit
Isotype
IgG
Purity
Affinity purification
Additional Information
ReactivityHuman Mouse Rat
Tested applicationsWB IHC IF
Recommended DilutionWB 1:500 - 1:2000 IHC 1:50 - 1:200 IF 1:50 - 1:200
Calculated MW33kDa
Observed MWRefer to Figures
ImmunogenRecombinant protein of human TPM1
Storage BufferStore at -20℃. Avoid freeze / thaw cycles. Buffer: PBS with 0.02% sodium azide, 50% glycerol, pH7.3.
SynonymCMH3; TMSA; CMD1Y; C15orf13; HTM-alpha
Images
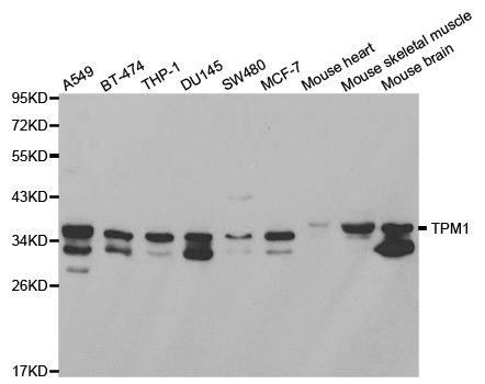
  • A1157: image 1

    Western blot analysis of extracts of various cell lines, using TPM1 antibody.

  • A1157: image 2

    Immunofluorescence analysis of HeLa cell using TPM1 antibody. Blue: DAPI for nuclear staining.

Background

Tropomyosin-1 (TPM1) belongs to the high molecular weight members of tropomyosin family (1,2). The protein exists in an alpha-helical coiled-coil conformation and binds multiple acting monomers in a tight manner to stabilize and regulate the actin filament (3). Tropomyosins fullfill functions in muscle and non-muscle cells. In muscle cells, tropomyosins associate with the troponin complex and play a central role in the calcium-dependent regulation of striated muscle contraction in vertebrates. In non-muscle cells, tropomyosins are implicated in the formation and stabilization of cytoskeletal actin filaments to ensure normal cellular processes (1,2). Mutations of tropomysin-1 have been reported as a cause of dilated cardiac myopathies (4). Tropomyosin-1 also functions as a tumor suppressor, and many malignant tumors demonstrate downregulation of tropomyosin-1 expression (5-8). Tropomyosin-1 is phosphorylated at Ser283 through the Erk/DAPK pathway, which promotes stress fiber formation in response to oxidative stress (9-10).

Protocol

N/A

MSDS
Reviews
Kendall Scientific welcomes feedback from its customers.

If you have used an our product and would like to share how it has performed, please click on the "Submit Review" button and provide the requested information.

If you have any additional inquiries please email technical services at info@kendallscientific.com.

Thank you for your support.

promotions

Image

Custom Monoclonal Antibody
MassAb Technologies
Image
Free Trial Custom Polyclonal Antibody
You will receive free purified antibodies for validation
Image
Custom Peptides Synthesis

Start from $40/each

new technologies

Image
Optimized for enhanced
expression levels
XPromoter 2.0
Image
E.coli/insect cells/293 & CHO

3 in 1 expression system
Image
MassAb Technologies

Cover All Epitopes