TRADD-Polyclonal Antibodies

our services
our products
Quotations & Ordering:

For quotations, please use our online quotation form, and you may also contact us by

service@kendallscientific.com

Phone:

+1-888.733.6849 (Toll-free)
+1-617.299.7367 (Int’l))

Fax:

+1-888.733.6849

Our customer service representatives are available 24 hours, Monday through Friday to assist you.

TRADD

Qty


Total
$220
Catalog #
A1145
Antibody Type
Polyclonal Antibody
Gene ID
8717
Swiss Prot
Q3U0V2
Size
Species
Rabbit
Isotype
IgG
Purity
Affinity purification
Additional Information
ReactivityHuman Mouse Rat
Tested applicationsWB IHC
Recommended DilutionWB 1:500 - 1:2000 IHC 1:50 - 1:200
Calculated MW34kDa
Observed MWRefer to Figures
ImmunogenRecombinant protein of human TRADD
Storage BufferStore at -20℃. Avoid freeze / thaw cycles. Buffer: PBS with 0.02% sodium azide, 50% glycerol, pH7.3.
Concentrationbp
SynonymTRADD;Hs.89862;MGC11078 ;
Images
  • A1145: image 1

    Western blot analysis of extracts of various cell lines, using TRADD antibody.

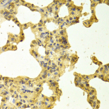
  • A1145: image 2

    Immunohistochemistry of paraffin-embedded rat lung using TRADD antibody at dilution of 1:100 (x400 lens).

Background

Apoptosis mediated by death factors like FasL and TNF-α involves the formation of a death-inducing signaling complex (DISC) to their respective receptors (1). Upon ligand activation to their receptors, Fas and TNF-R1 associate with death domain (DD) containing adaptor proteins FADD (Fas associated death domain) (2,3) and TRADD (TNF-R1 associated death domain) (4). In addition to its carboxy-terminal DD, FADD contains an amino-terminal death effector domain (DED) that binds to DEDs found on caspase-8 which leads to activation of this initiator caspase (5,6). Caspase-8 subsequently activates downstream effector caspases, like caspase-3, resulting in the cleavage of proteins involved in the execution of apoptosis. Unlike FADD, TRADD does not contain a DED (4). Apoptosis driven by TNF-R1 binding to TRADD involves association of TRADD and FADD which then leads to activation of caspase-8 (7).

Protocol

N/A

MSDS
Reviews
Kendall Scientific welcomes feedback from its customers.

If you have used an our product and would like to share how it has performed, please click on the "Submit Review" button and provide the requested information.

If you have any additional inquiries please email technical services at info@kendallscientific.com.

Thank you for your support.

promotions

Image

Custom Monoclonal Antibody
MassAb Technologies
Image
Free Trial Custom Polyclonal Antibody
You will receive free purified antibodies for validation
Image
Custom Peptides Synthesis

Start from $40/each

new technologies

Image
Optimized for enhanced
expression levels
XPromoter 2.0
Image
E.coli/insect cells/293 & CHO

3 in 1 expression system
Image
MassAb Technologies

Cover All Epitopes