For quotations, please use our online quotation form, and you may also contact us by
service@kendallscientific.com
+1-888.733.6849 (Toll-free)
+1-617.299.7367 (Int’l))
+1-888.733.6849
Our customer service representatives are available 24 hours, Monday through Friday to assist you.| Reactivity | Human Mouse Rat |
| Tested applications | WB IHC IF |
| Recommended Dilution | WB 1:500 - 1:2000 IHC 1:50 - 1:200 IF 1:50 - 1:200 |
| Calculated MW | 80kDa |
| Observed MW | Refer to Figures |
| Immunogen | Recombinant protein of human TRAP1 |
| Storage Buffer | Store at -20℃. Avoid freeze / thaw cycles. Buffer: PBS with 0.02% sodium azide, 50% glycerol, pH7.3. |
| Concentration | j |
| Synonym | HSP75; HSP 75; HSP90L; TRAP-1; |

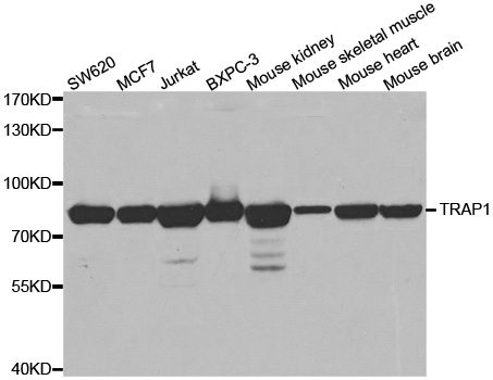
Western blot analysis of extracts of various cell lines, using TRAP1 antibody.

Immunohistochemistry of paraffin-embedded human liver cancer tissue using TRAP1 antibody.

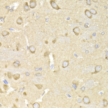
Immunohistochemistry of paraffin-embedded rat brain using TRAP1 antibody at dilution of 1:200 (400x lens).

Immunofluorescence analysis of HeLa cell using TRAP1 antibody. Blue: DAPI for nuclear staining.
This gene encodes a mitochondrial chaperone protein that is member of the heat shock protein 90 (HSP90) family. The encoded protein has ATPase activity and interacts with tumor necrosis factor type I. This protein may function in regulating cellular stress responses. Alternate splicing results in multiple transcript variants.
N/A