For quotations, please use our online quotation form, and you may also contact us by
service@kendallscientific.com
+1-888.733.6849 (Toll-free)
+1-617.299.7367 (Int’l))
+1-888.733.6849
Our customer service representatives are available 24 hours, Monday through Friday to assist you.| Reactivity | Human |
| Tested applications | WB IHC IF |
| Recommended Dilution | WB 1:500 - 1:2000 IHC 1:50 - 1:200 IF 1:50 - 1:200 |
| Calculated MW | 130kDa |
| Observed MW | Refer to figures |
| Immunogen | Recombinant protein of human TTF2 |
| Storage Buffer | Store at -20℃. Avoid freeze / thaw cycles. Buffer: PBS with 0.02% sodium azide, 50% glycerol, pH7.3. |
| Concentration | f |
| Synonym | HuF2; ZGRF6; |

Western blot analysis of extracts of various cells, using TTF2 antibody.

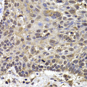
Immunohistochemistry of paraffin-embedded human well-differentiated squamous skin carcinoma using TTF2 antibody at dilution of 1:100 (40x lens).

Immunofluorescence analysis of A549 cell using TTF2 antibody. Blue: DAPI for nuclear staining.
This gene encodes a member of the SWI2/SNF2 family of proteins, which play a critical role in altering protein-DNA interactions. The encoded protein has been shown to have dsDNA-dependent ATPase activity and RNA polymerase II termination activity. This protein interacts with cell division cycle 5-like, associates with human splicing complexes, and plays a role in pre-mRNA splicing.
N/A