For quotations, please use our online quotation form, and you may also contact us by
service@kendallscientific.com
+1-888.733.6849 (Toll-free)
+1-617.299.7367 (Int’l))
+1-888.733.6849
Our customer service representatives are available 24 hours, Monday through Friday to assist you.| Reactivity | Human Mouse Rat |
| Tested applications | WB IHC |
| Recommended Dilution | WB 1:500 - 1:2000 IHC 1:50 - 1:200 |
| Calculated MW | 28kDa |
| Observed MW | Refer to Figures |
| Immunogen | Recombinant protein of human U2AF1 |
| Storage Buffer | Store at -20℃. Avoid freeze / thaw cycles. Buffer: PBS with 0.02% sodium azide, 50% glycerol, pH7.3. |
| Concentration | bj |
| Synonym | U2AF1;DKFZp313J1712;FP793;RN;RNU2AF1;U2AF35;U2AFBP ; |

Western blot analysis of extracts of various cells, using U2AF1 antibody.

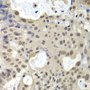
Immunohistochemistry of paraffin-embedded rat Intestine using U2AF1 antibody at dilution of 1:200 (400x lens).

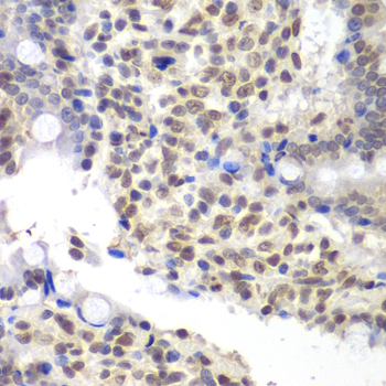
Immunohistochemistry of paraffin-embedded human oophoroma using U2AF1 antibody at dilution of 1:200 (400x lens).

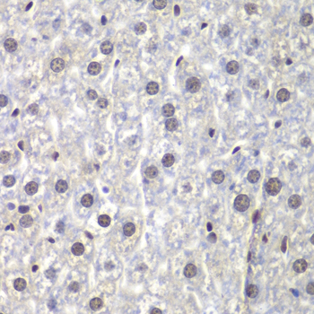
Immunohistochemistry of paraffin-embedded mouse liver using U2AF1 antibody at dilution of 1:200 (400x lens).
U2 auxiliary factor (U2AF), comprising a large and a small subunit, is a non-snRNP protein required for the binding of U2 snRNP to the pre-mRNA branch site. U2 (RNU2) small nuclear RNA auxiliary factor 1 (U2AF1,synonyms: RN, FP793, U2AF35, U2AFBP, RNU2AF1)is the small subunit which plays a critical role in both constitutive and enhancer-dependent RNA splicing by directly mediating interactions between the large subunit and proteins bound to the enhancers. The U2AF1 gene is localized to chromosome 21q22.3, which is the critical region for three diseases, progressive myoclonus epilepsy, autoimmune polyglandular disease type 1, and one form of bipolar affective disorder.
N/A