For quotations, please use our online quotation form, and you may also contact us by
service@kendallscientific.com
+1-888.733.6849 (Toll-free)
+1-617.299.7367 (Int’l))
+1-888.733.6849
Our customer service representatives are available 24 hours, Monday through Friday to assist you.| Reactivity | Human Mouse Rat |
| Tested applications | WB IHC IF |
| Recommended Dilution | WB 1:500 - 1:2000 IHC 1:50 - 1:200 IF 1:50 - 1:200 |
| Calculated MW | 18kDa |
| Observed MW | Refer to Figures |
| Immunogen | Recombinant protein of human UBD |
| Storage Buffer | Store at -20℃. Avoid freeze / thaw cycles. Buffer: PBS with 0.02% sodium azide, 50% glycerol, pH7.3. |
| Synonym | FAT10; UBD-3; GABBR1; |

Western blot analysis of extracts of Mouse liver, using UBD antibody.

Immunohistochemistry of paraffin-embedded rat liver using UBD antibody at dilution of 1:200 (400x lens).

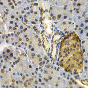
Immunohistochemistry of paraffin-embedded mouse pancreas using UBD antibody at dilution of 1:200 (400x lens).

Immunofluorescence analysis of A549 cell using UBD antibody. Blue: DAPI for nuclear staining.
UBD (ubiquitin D) is a protein-coding gene. Diseases associated with UBD include nephrosclerosis, and severe acute respiratory syndrome, and among its related super-pathways are NF-KappaB Family Pathway and MIF Regulation of Innate Immune Cells. GO annotations related to this gene include proteasome binding and protein binding. An important paralog of this gene is ISG15.
N/A