For quotations, please use our online quotation form, and you may also contact us by
service@kendallscientific.com
+1-888.733.6849 (Toll-free)
+1-617.299.7367 (Int’l))
+1-888.733.6849
Our customer service representatives are available 24 hours, Monday through Friday to assist you.| Reactivity | Human Mouse Rat |
| Tested applications | WB IHC |
| Recommended Dilution | WB 1:500 - 1:2000 IHC 1:100 - 1:200 |
| Calculated MW | 37kDa |
| Observed MW | Refer to figures |
| Immunogen | A synthetic peptide of human UBIAD1 |
| Storage Buffer | Store at -20℃. Avoid freeze / thaw cycles. Buffer: PBS with 0.02% sodium azide, 50% glycerol, pH7.3. |
| Synonym | SCCD; TERE1; |

Western blot analysis of extracts of various tissues, using UBIAD1 antibody.

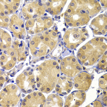
Immunohistochemistry of paraffin-embedded human stomach using UBIAD1 antibody at dilution of 1:100 (40x lens).

Immunohistochemistry of paraffin-embedded human colon carcinoma using UBIAD1 antibody at dilution of 1:100 (40x lens).

Immunohistochemistry of paraffin-embedded human prostate using UBIAD1 antibody at dilution of 1:100 (40x lens).

Immunohistochemistry of paraffin-embedded human stomach using UBIAD1 antibody at dilution of 1:100 (40x lens).
This gene encodes a protein thought to be involved in cholesterol and phospholipid metabolism. Mutations in this gene are associated with Schnyder crystalline corneal dystrophy.
N/A