For quotations, please use our online quotation form, and you may also contact us by
service@kendallscientific.com
+1-888.733.6849 (Toll-free)
+1-617.299.7367 (Int’l))
+1-888.733.6849
Our customer service representatives are available 24 hours, Monday through Friday to assist you.| Reactivity | Human Mouse Rat |
| Tested applications | WB IHC IF |
| Recommended Dilution | WB 1:500 - 1:2000 IHC 1:50 - 1:200 IF 1:20 - 1:50 |
| Calculated MW | 90kDa |
| Observed MW | Refer to Figures |
| Immunogen | Recombinant protein of human UHRF2 |
| Storage Buffer | Store at -20℃. Avoid freeze / thaw cycles. Buffer: PBS with 0.02% sodium azide, 50% glycerol, pH7.3. |
| Concentration | bl |
| Synonym | NIRF; URF2; RNF107; RP11-472F14.2; |

Western blot analysis of extracts of various cell lines, using UHRF2 antibody.

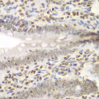
Immunohistochemistry of paraffin-embedded rat Intestine using UHRF2 antibody at dilution of 1:200 (400x lens).

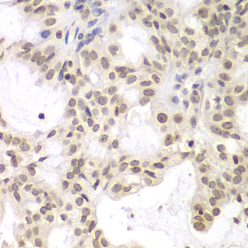
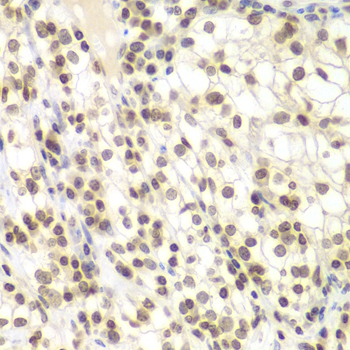
Immunohistochemistry of paraffin-embedded human liver cancer using UHRF2 antibody at dilution of 1:200 (400x lens).

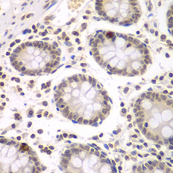
Immunohistochemistry of paraffin-embedded human colon using UHRF2 antibody at dilution of 1:200 (400x lens).

Immunohistochemistry of paraffin-embedded human oophoroma using UHRF2 antibody at dilution of 1:200 (400x lens).

Immunohistochemistry of paraffin-embedded human kidney cancer using UHRF2 antibody at dilution of 1:200 (400x lens).

Immunohistochemistry of paraffin-embedded mouse lung using UHRF2 antibody at dilution of 1:200 (400x lens).

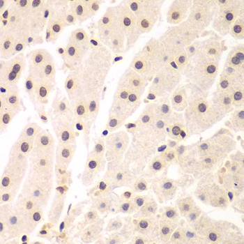
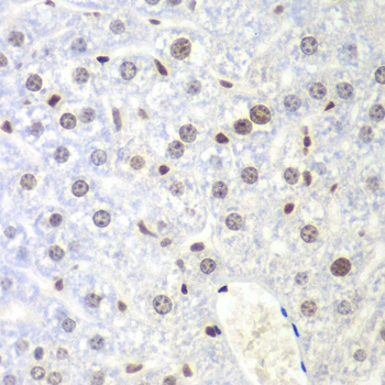
Immunohistochemistry of paraffin-embedded mouse liver using UHRF2 antibody at dilution of 1:200 (400x lens).
This gene encodes a nuclear protein which is involved in cell-cycle regulation. The encoded protein is a ubiquitin-ligase capable of ubiquinating PCNP (PEST-containing nuclear protein), and together they may play a role in tumorigenesis. The encoded protein contains an NIRF_N domain, a PHD finger, a set- and ring-associated (SRA) domain, and a RING finger domain and several of these domains have been shown to be essential for the regulation of cell proliferation. This protein may also have a role in intranuclear degradation of polyglutamine aggregates. Alternative splicing results in multiple transcript variants some of which are non-protein coding. [provided by RefSeq, Feb 2012]
N/A