USO1-Polyclonal Antibodies

our services
our products
Quotations & Ordering:

For quotations, please use our online quotation form, and you may also contact us by

service@kendallscientific.com

Phone:

+1-888.733.6849 (Toll-free)
+1-617.299.7367 (Int’l))

Fax:

+1-888.733.6849

Our customer service representatives are available 24 hours, Monday through Friday to assist you.

USO1

Qty


Total
$220
Catalog #
A2796
Antibody Type
Polyclonal Antibody
Gene ID
8615
Swiss Prot
O60763
Size
Species
Rabbit
Isotype
IgG
Purity
Affinity purification
Additional Information
ReactivityHuman Mouse Rat
Tested applicationsWB IHC IF IP
Recommended DilutionWB 1:500 - 1:2000 IHC 1:50 - 1:200 IF 1:50 - 1:200 IP 1:20 - 1:50
Calculated MW108kDa
Observed MWRefer to Figures
ImmunogenA synthetic peptide of human USO1
Storage BufferStore at -20℃. Avoid freeze / thaw cycles. Buffer: PBS with 0.02% sodium azide, 50% glycerol, pH7.3.
Concentrationj
SynonymTAP;VDP;P115;
Images
  • A2796: image 1

    Western blot analysis of extracts of various cell lines, using USO1 antibody.

  • A2796: image 2

    Immunohistochemistry of paraffin-embedded human ovarian cancer tissue using USO1 antibody.

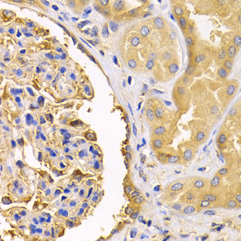
  • A2796: image 3

    Immunohistochemistry of paraffin-embedded human kidney cancer using USO1 antibody at dilution of 1:200 (400x lens).

Background

The protein encoded by this gene is a peripheral membrane protein which recycles between the cytosol and the Golgi apparatus during interphase. It is regulated by phosphorylation: dephosphorylated protein associates with the Golgi membrane and dissociates from the membrane upon phosphorylation. Ras-associated protein 1 recruits this protein to coat protein complex II (COPII) vesicles during budding from the endoplasmic reticulum, where it interacts with a set of COPII vesicle-associated SNAREs to form a cis-SNARE complex that promotes targeting to the Golgi apparatus. Transport from the ER to the cis/medial Golgi compartments requires the action of this gene product, GM130 and giantin in a sequential manner.

Protocol

N/A

MSDS
Reviews
Kendall Scientific welcomes feedback from its customers.

If you have used an our product and would like to share how it has performed, please click on the "Submit Review" button and provide the requested information.

If you have any additional inquiries please email technical services at info@kendallscientific.com.

Thank you for your support.

promotions

Image

Custom Monoclonal Antibody
MassAb Technologies
Image
Free Trial Custom Polyclonal Antibody
You will receive free purified antibodies for validation
Image
Custom Peptides Synthesis

Start from $40/each

new technologies

Image
Optimized for enhanced
expression levels
XPromoter 2.0
Image
E.coli/insect cells/293 & CHO

3 in 1 expression system
Image
MassAb Technologies

Cover All Epitopes