For quotations, please use our online quotation form, and you may also contact us by
service@kendallscientific.com
+1-888.733.6849 (Toll-free)
+1-617.299.7367 (Int’l))
+1-888.733.6849
Our customer service representatives are available 24 hours, Monday through Friday to assist you.| Reactivity | Human Mouse Rat |
| Tested applications | WB IHC IF |
| Recommended Dilution | WB 1:500 - 1:2000 IHC 1:50 - 1:200 IF 1:50 - 1:100 |
| Calculated MW | 130kDa |
| Observed MW | Refer to Figures |
| Immunogen | Recombinant protein of human USP7 |
| Storage Buffer | Store at -20℃. Avoid freeze / thaw cycles. Buffer: PBS with 0.02% sodium azide, 50% glycerol, pH7.3. |
| Synonym | USP7;HAUSP;TEF1; |

Western blot analysis of extracts of various cell lines, using USP7 antibody.

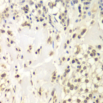
Immunohistochemistry of paraffin-embedded human kidney cancer using USP7 antibody at dilution of 1:200 (400x lens).

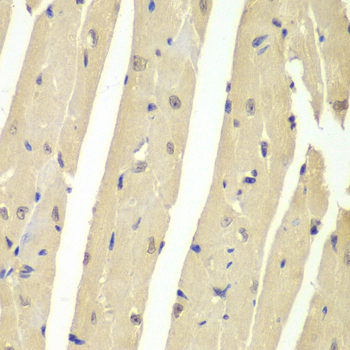
Immunohistochemistry of paraffin-embedded mouse heart using USP7 antibody at dilution of 1:200 (400x lens).

Immunofluorescence analysis of HeLa cell using USP7 antibody.
Ubiquitinating enzymes (UBEs) catalyze protein ubiquitination, a reversible process countered by deubiquitinating enzyme (DUB) action (1,2). Five DUB subfamilies are recognized, including the USP, UCH, OTU, MJD and JAMM enzymes. Herpesvirus-associated ubiquitin-specific protease (HAUSP, USP7) is an important deubiquitinase belonging to USP subfamily. A key HAUSP function is to bind and deubiquitinate the p53 transcription factor and an associated regulator protein Mdm2, thereby stabilizing both proteins (3,4). In addition to regulating essential components of the p53 pathway, HAUSP also modifies other ubiquitinylated proteins such as members of the FoxO family of forkhead transcription factors and the mitotic stress checkpoint protein CHFR (5,6).
N/A